
Shari Damast, MD
Advertisement
Articles by Shari Damast, MD

Advertisement
Latest Updated Articles
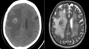
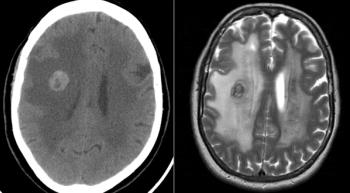
A Patient With Intermittent Headaches and Visual ChangesPublished: December 12th 2012 | Updated:
Advertisement
Advertisement
Trending on CancerNetwork
1
FDA Approves Novel Blood-Based Prostate Cancer Test for Elevated PSA Levels
2
FDA Approves Updated Cosibelimab Label in Cutaneous Squamous Cell Carcinoma
3
FDA Grants Fast Track Designation to Novel FLT3/CD3 Bispecific in R/R AML
4
A Decline in the US Oncology Workforce: What Will the Next Decade Bring?
5


