
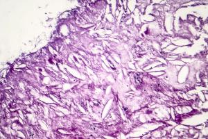
Investigators used a patient-specific score to predict treatment outcomes in pediatric patients with acute myeloid leukemia, allowing them to identify who may benefit from higher-dose chemotherapy.

Your AI-Trained Oncology Knowledge Connection!


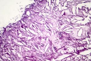
Investigators used a patient-specific score to predict treatment outcomes in pediatric patients with acute myeloid leukemia, allowing them to identify who may benefit from higher-dose chemotherapy.

By reading CT scans, machine learning could aid investigators in improving treatment decision making.

Early safety data from the RELARC trial showed complete mesocolic excision doesn’t increase intraoperative and postoperative complications of laparoscopic right hemicolectomy compared with D2 dissection when done by an experienced surgeon.

Hepatic arterial infusion chemotherapy with oxaliplatin, fluorouracil, and leucovorin significantly improved overall survival compared with transarterial chemoembolization in patients with unresectable hepatocellular carcinoma.

Published: September 24th 2020 | Updated:

Published: May 18th 2022 | Updated:

Published: May 8th 2022 | Updated: