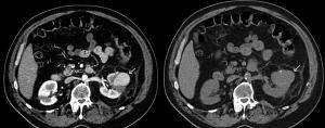
45-Year-Old Female With Gross Hematuria Post Partial NephrectomyByBrian Morse, MD,Kevin ShahbazianMarch 1st 2018A 45-year-old female presents with gross hematuria 5 days after a laparoscopic partial nephrectomy for renal cell cancer. What is your diagnosis?