
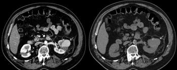
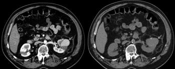
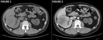
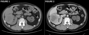
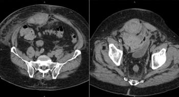
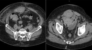
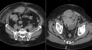
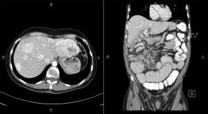
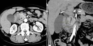
A 45-year-old female presents with gross hematuria 5 days after a laparoscopic partial nephrectomy for renal cell cancer. What is your diagnosis?

Your AI-Trained Oncology Knowledge Connection!


A 45-year-old female presents with gross hematuria 5 days after a laparoscopic partial nephrectomy for renal cell cancer. What is your diagnosis?

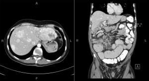
A 68-year-old woman is undergoing staging scans for gastric cancer. An image from her CT shows an abnormality. What is the diagnosis?

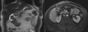
A 60-year-old woman presents with vague abdominal pain in the right upper quadrant. An ultrasound reveals a gallbladder abnormality. Based on the images from the abdomen MRI, what is the diagnosis?

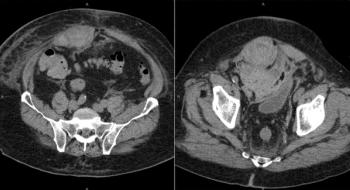
A 25-year-old man with abdominal discomfort undergoes CT imaging to determine its cause. What is your diagnosis?

A 63-year-old man with NET metastatic to the liver undergoes MRI for evaluation of response to therapy. Based on the imaging, what is your diagnosis?

A 50-year-old man undergoes CT examination for workup of hematuria and abdominal pain. Noncontrast and postcontrast images from the CT are shown. What is your diagnosis?

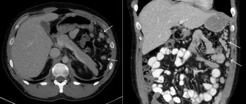
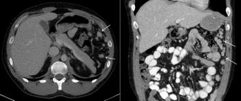
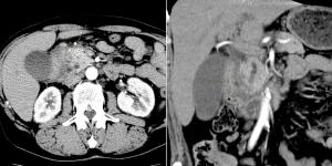
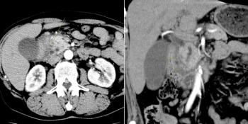
A 28-year-old woman with a history of nephrolithiasis has an abdomen CT scan to investigate an abnormality in the liver. What is your diagnosis?

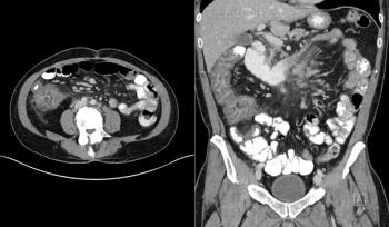
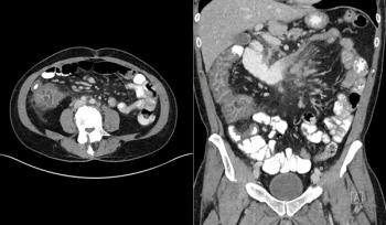
A 30-year-old man who recently underwent induction chemotherapy for bone marrow transplant is admitted with neutropenia and right lower-quadrant abdominal pain. What is your diagnosis?

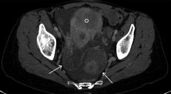
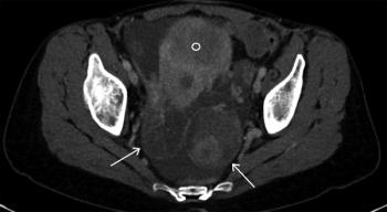
A 27-year-old man presents to his primary care physician, complaining of a palpable nodule in his right testicle. What is your diagnosis?

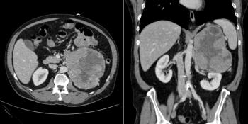
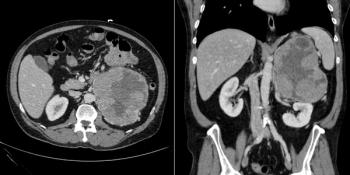
A 56-year-old woman presents with abdominal fullness and virilization. Axial and coronal images from a CT scan of her abdomen are shown below. What is your diagnosis?

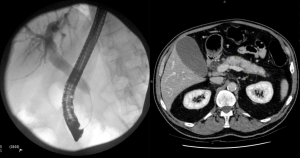
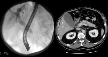
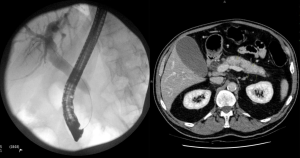
A 62-year-old man presents with painless jaundice. ERCP and CT images are shown below. What is your diagnosis?

A 52-year-old man with a history of heavy alcohol use and chronic abdominal pain presents with the following CT scan. What is your diagnosis?

A 30-year-old female presents with right upper quadrant pain. An abdomen MRI is performed. What is your diagnosis?





Published: September 26th 2013 | Updated:

Published: April 26th 2013 | Updated:

Published: August 12th 2013 | Updated:

Published: November 7th 2013 | Updated:

Published: October 23rd 2014 | Updated:

Published: December 5th 2014 | Updated: