Mónica Chapa-Ibargüengoitia, MD
Articles by Mónica Chapa-Ibargüengoitia, MD

Sjögren Syndrome Induced by Immune Checkpoint Inhibitors in a Patient with Advanced Renal Cell Carcinoma
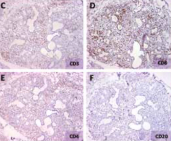
ByEmilio Conde-Flores, MD,Yuly A. Remolina-Bonilla, MD,Francisco J. Castro-Alonso, MD,Nayeli A. Martínez-Ibarra, MS,Gabriela Hernández-Molina, MD,Mónica Chapa-Ibargüengoitia, MD,Armando Gamboa-Domínguez, MD,María T. Bourlon, MD, MSc, FASCO This clinical quandary details a Mexican man, aged 77 years, who presented to the oncology clinic with a sternal mass. Based on the results, the patient fulfilled the 2016 American College of Rheumatology/European League Against Rheumatism classification criteria for Sjögren syndrome, thus the diagnosis triggered by immune checkpoint inhibitors was definitively established.