
In this edition of Clinical Quandaries Eder A. Arango Bravo, MD, and colleagues present a 63 year old woman who has cervical cancer with kidney failure and additional comorbidities.

Your AI-Trained Oncology Knowledge Connection!


In this edition of Clinical Quandaries Eder A. Arango Bravo, MD, and colleagues present a 63 year old woman who has cervical cancer with kidney failure and additional comorbidities.

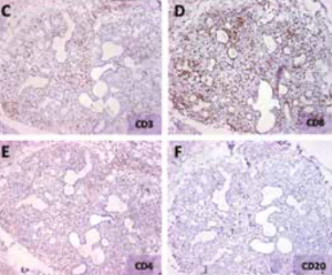
This clinical quandary details a Mexican man, aged 77 years, who presented to the oncology clinic with a sternal mass. Based on the results, the patient fulfilled the 2016 American College of Rheumatology/European League Against Rheumatism classification criteria for Sjögren syndrome, thus the diagnosis triggered by immune checkpoint inhibitors was definitively established.

Published: November 16th 2021 | Updated:

Published: August 14th 2021 | Updated: