
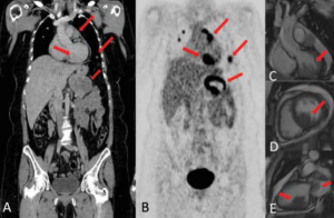
This clinical quandary discusses oligoprogressive disease in metastatic melanoma and how treatment with immunotherapy and targeted therapy affect the disease.

Your AI-Trained Oncology Knowledge Connection!


This clinical quandary discusses oligoprogressive disease in metastatic melanoma and how treatment with immunotherapy and targeted therapy affect the disease.

Published: September 16th 2021 | Updated: