
This clinical quandary discusses oligoprogressive disease in metastatic melanoma and how treatment with immunotherapy and targeted therapy affect the disease.

Your AI-Trained Oncology Knowledge Connection!


This clinical quandary discusses oligoprogressive disease in metastatic melanoma and how treatment with immunotherapy and targeted therapy affect the disease.

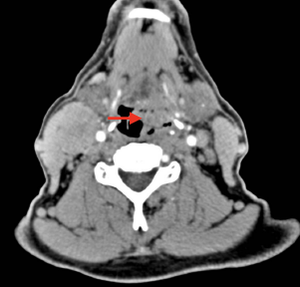
A 57-year-old man with a heavy smoking and alcohol consumption history, but no comorbidities, presented with pharyngeal pain to his primary care physician’s office. He received empirical treatment with oral antibiotics and experienced partial improvement. A couple of months later, he developed a left cervical mass with progressive growth. A head and neck CT scan revealed a hypopharyngeal tumor. Results of a tumor biopsy indicated an ulcerated, moderately differentiated squamous cell carcinoma (SCC) with lymphovascular invasion. The patient was sent to our institution for treatment.

Published: September 16th 2021 | Updated:

Published: June 16th 2020 | Updated: