
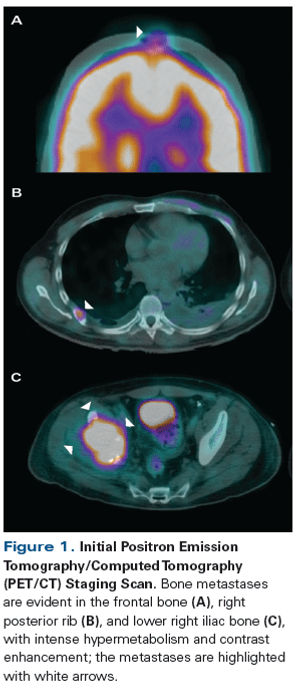
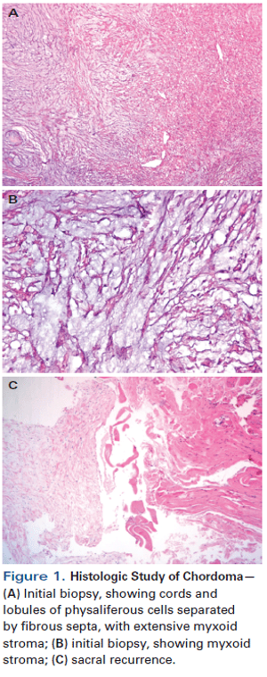
A 60-year-old man presented with lower limb claudication and a painful mass on his left buttock. Physical examination revealed a firm round mass, fixed to deep planes. A biopsy was performed and revealed a chordoma.

Your AI-Trained Oncology Knowledge Connection!


A 60-year-old man presented with lower limb claudication and a painful mass on his left buttock. Physical examination revealed a firm round mass, fixed to deep planes. A biopsy was performed and revealed a chordoma.

A 42-year-old man presented with increasing right hip pain that limited his ability to walk. Magnetic resonance imaging (MRI) revealed a right lytic acetabular lesion. Further work-up included a computed tomography (CT) scan, which revealed an 8-cm left kidney tumor.

Published: November 16th 2015 | Updated:

Published: February 16th 2016 | Updated: