
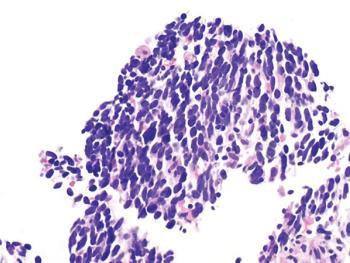
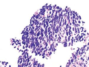
Medical oncologsts discuss the case of a 70-year old woman with synchronous multiple primary lung cancer.

Your AI-Trained Oncology Knowledge Connection!


Medical oncologsts discuss the case of a 70-year old woman with synchronous multiple primary lung cancer.

Published: February 13th 2020 | Updated: