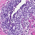
Slide from a 38-year-old primiparous woman with a 2-year-old child and nipple discharge. A breast biopsy was performed. Click here to see the whole slide image.
Click here for the comparative pathology.

Your diagnosis is:
Stay up to date on recent advances in the multidisciplinary approach to cancer.