
Robert D. Cardiff, MD, PhD
Advertisement
Articles by Robert D. Cardiff, MD, PhD
Advertisement
Latest Updated Articles
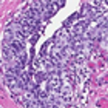
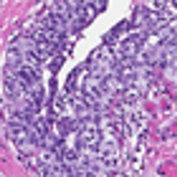
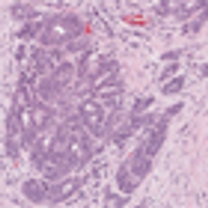
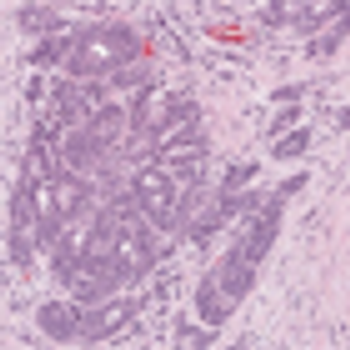
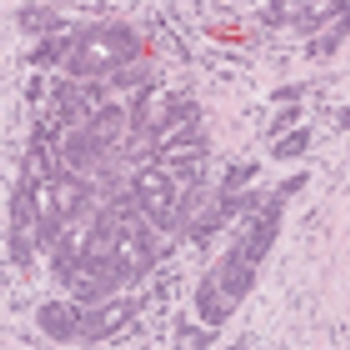
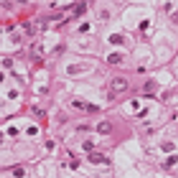
Human Lobular Breast CancerMarch 25th 2011
Peripheral Blood Showing Markedly Increased WBCApril 21st 2011
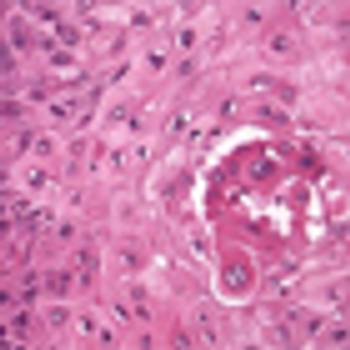
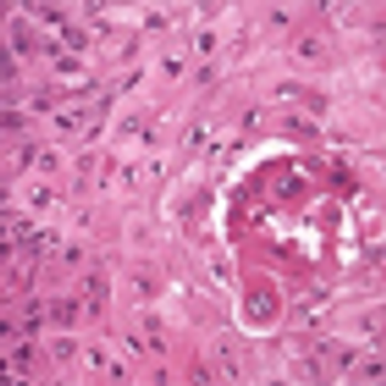
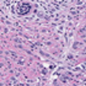
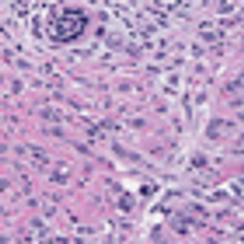
Adenocarcinoma of the ProstateMay 20th 2011
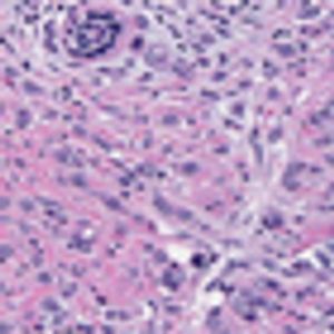
Core Biopsy of Prostate From an Elderly MaleJune 3rd 2011
Advertisement
Advertisement
Trending on CancerNetwork
1
Dose Modification Strategies in EGFR Mutated Metastatic Non-Small Cell Lung Cancer
2
I-DXd Earns FDA Priority Review in Extensive-Stage Small Cell Lung Cancer
3
Utilizing AI Algorithms to Inform Breast Cancer Chemoprevention Strategies
4
FDA Receives sBLA for Zenocutuzumab in Advanced NRG1+ Cholangiocarcinoma
5






















