
Sara M. Tolaney, MD, MPH, discusses how, compared with antibody-drug conjugates, chemotherapy produces low response rates and disease control in the treatment of those with hormone receptor–positive, HER2-negative metastatic breast cancer.

Your AI-Trained Oncology Knowledge Connection!


Sara M. Tolaney, MD, MPH, discusses how, compared with antibody-drug conjugates, chemotherapy produces low response rates and disease control in the treatment of those with hormone receptor–positive, HER2-negative metastatic breast cancer.

Mark Pegram, MD, spoke about using the Breast Cancer Index and Clinical Treatment Score post-5 years to determine outcomes for patients with early-stage hormone receptor–positive breast cancer treated with adjuvant endocrine therapy.

This slide show highlights some of the presentations that took place at the 2015 American Society of Clinical Oncology (ASCO) Breast Cancer Symposium in San Francisco, September 25-27, 2015.

A phase III study showed that APF530 could improve control of emesis in cancer patients receiving highly emetogenic chemotherapy.

A large database study found that the use of neoadjuvant chemotherapy in breast cancer patients does not raise the risk of postoperative surgical complications.

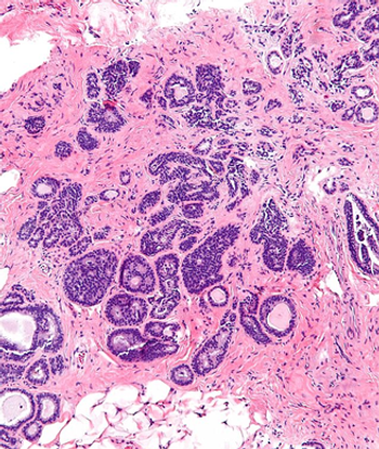
A new study found that magnetic resonance imaging (MRI) screening improved the detection of small, high-grade breast cancers in women with average risk.

A new model using only age at biopsy and number of atypia foci could improve absolute breast cancer risk estimates in women with atypical hyperplasia.

In this interview we discuss the causes of treatment-related infertility as well as strategies to preserve fertility in patients treated for their breast cancer.

Ahead of the 2015 ASCO Breast Cancer Symposium, Saima Noor Hassan, MD, PhD, discusses her upcoming presentation on PARP inhibitors in breast cancer.

Five-year recurrence rates for women with ductal carcinoma in situ have been cut in half recently due to advances in mammography and more detailed pathology assessments.

Adjuvant radiation therapy after lumpectomy improves survival for elderly women with early-stage, triple-negative breast cancer, according to a study to be presented at the 2015 ASCO Breast Cancer Symposium.

Our study shows a declining rate of recurrence over the decades, suggesting that for a woman treated today, the expected recurrence rate should be lower than that seen in the randomized trials.

Researchers have developed a nomogram to help calculate which breast cancer patients may be appropriate candidates for accelerated partial breast irradiation.

As part of our coverage of the ASCO Breast Cancer Symposium we discuss the clinical meaningfulness of pathologic complete response as a surrogate endpoint in breast cancer clinical trials.

Treatment with combined chemotherapy and the LHRH analog triptorelin may help preserve fertility in premenopausal women with breast cancer.

Researchers have identified a group of women with atypical ductal hyperplasia found on biopsy who should be considered to be at low risk for developing cancer.

Although the overall likelihood for complications after a mastectomy are rare, women who undergo a double mastectomy may experience higher complication rates.

Ahead of the 2014 ASCO Breast Cancer Symposium we discussed genetic and environmental risk factors for breast cancer, as well as interventions that can reduce a patient’s risk.

Patients overdue for a screening mammography were more likely to return for an appointment when they received a reminder postcard and a physician signed letter.

About 40% of women experienced a change in at least one biomarker from primary to residual breast cancer after undergoing neoadjuvant chemotherapy, according to the results of a study presented at the ASCO Breast Cancer Symposium.

Two studies presented at the ASCO Breast Cancer Symposium 2013 focused on studying cognitive function in women with early-stage breast cancer, focusing on the relationship between perceived and measurable cognitive decline, and factors that may help to predict cognitive decline.

The exposure of the heart to radiation during radiotherapy for ductal carcinoma in situ (DCIS) did not increase cardiovascular mortality or morbidity, according to a study by researchers in the Netherlands.

More than 90% of women about to undergo a mammography were unable to accurately quantify their risk for breast cancer, either over- or underestimating their risk, according to the results of a large-scale survey presented at the ASCO Breast Cancer Symposium 2013.

Expert radiologists were able to screen magnetic resonance images and rule out breast cancer diagnosis with a negative predictive value of about 99% using an abridged breast MRI protocol in a single-center study presented Saturday at the ASCO Breast Cancer Symposium 2013.

As part of our coverage for the ASCO Breast Cancer Symposium 2013, we spoke with Dr. Susan K. Boolbol, chief of the division of breast surgery at the Appel-Venet Comprehensive Breast Service at Beth Israel Medical Center in New York City, who is chairing a general session panel discussion on the overdiagnosis of breast cancer.

We speak with Clifford Hudis, MD, Memorial Sloan-Kettering Cancer Center, about the recent advances in breast cancer treatment and the top news to come out of this year’s ASCO Breast Cancer Symposium.

In this video, Tari A. King, MD, of the Memorial Sloan-Kettering Cancer Center, discusses what to look for at this year’s ASCO Breast Cancer Symposium.

In spite of screening recommendations that now begin only at 50 years of age, breast cancer is often diagnosed in women under the age of 40, and there are specific challenges to management of the disease in this younger population.

Triple-negative breast cancers represent a challenge for patients and clinicians, with poorer prognosis and fewer treatment options than other breast cancer subtypes. Recently, though, there have been suggestions that targeting pathways that repair DNA within tumor cells could provide benefit beyond the currently available treatments.

Treatments vary widely for metastatic breast cancer patients, though an analysis suggests that costs per patient are relatively similar across a number of different treatments.