
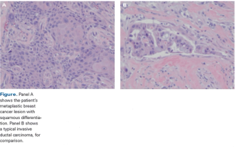
A 40-year-old woman noted a large mass in her right breast. A diagnostic mammogram and ultrasound confirmed a 3.4-cm mass with associated microcalcifications.

Your AI-Trained Oncology Knowledge Connection!


A 40-year-old woman noted a large mass in her right breast. A diagnostic mammogram and ultrasound confirmed a 3.4-cm mass with associated microcalcifications.

Published: July 16th 2016 | Updated: