
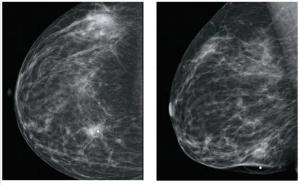
A 35-year-old woman noticed a mass in her right breast and underwent a diagnostic workup, including a mammogram that revealed a 2.4-cm mass and ultrasound that showed two adjacent masses, as well as enlarged axillary lymph nodes.

Your AI-Trained Oncology Knowledge Connection!


A 35-year-old woman noticed a mass in her right breast and underwent a diagnostic workup, including a mammogram that revealed a 2.4-cm mass and ultrasound that showed two adjacent masses, as well as enlarged axillary lymph nodes.

A 46-year-old woman had a routine screening mammogram that showed new calcifications in the posterior left breast. A diagnostic mammogram showed several small punctate calcifications, and a 6-month interval follow-up was recommended.

A 22-year-old college student with primary amenorrhea due to Müllerian agenesis presented with a headache, dysarthria, nausea, vomiting, and left upper extremity weakness. MRI of the brain showed numerous intracranial lesions.

A 40-year-old woman noted a large mass in her right breast. A diagnostic mammogram and ultrasound confirmed a 3.4-cm mass with associated microcalcifications.

Improvements in early diagnosisand treatment of breast cancer overthe past few decades have clearlyreduced disease-related mortality. The2000 Oxford Overview published recentlyby the Early Breast Cancer Trialists’Cooperative Group (EBCTCG)highlights some of the widely practicableadjuvant drug treatments thatwere under investigation in the 1980s,and have substantially reduced 5-yearrecurrence rates as well as 15-yearmortality rates.[1] Optimal adjuvanthormone therapy is associated with asubstantial improvement of diseaseoutcomes in hormone receptor–positivewomen. Chemotherapy is alsoassociated with considerable benefitsin women with breast cancer, regardlessof age, stage, or hormone receptorstatus. However, chemotherapy isnot without risks. The treatment isassociated with many adverse eventsthat may significantly affect a patient’squality of life while she is receivingtreatment. Other effects may be longstanding,permanent, and, rarely, lifethreatening.

Drs. Partridge and Schapira areto be complimented on a conciseand comprehensive reviewof pregnancy before, during, andafter a diagnosis of breast cancer. Aswomen are able and willing to deferpregnancy until later in life, the issuesaddressed in this article will be encounteredwith increasing frequencyin oncology.

Published: May 1st 2005 | Updated:

Published: July 16th 2016 | Updated:

Published: December 16th 2016 | Updated:

Published: July 15th 2017 | Updated:

Published: December 1st 2005 | Updated:

Published: June 15th 2018 | Updated: