
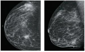
A 35-year-old woman noticed a mass in her right breast and underwent a diagnostic workup, including a mammogram that revealed a 2.4-cm mass and ultrasound that showed two adjacent masses, as well as enlarged axillary lymph nodes.

Your AI-Trained Oncology Knowledge Connection!


A 35-year-old woman noticed a mass in her right breast and underwent a diagnostic workup, including a mammogram that revealed a 2.4-cm mass and ultrasound that showed two adjacent masses, as well as enlarged axillary lymph nodes.

In July 2003, an asymptomatic 40-year-old man presented to his primary care physician for routine care and was found to have a palpable right axillary lymph node.

We review available strategies for screening and risk reduction through chemoprevention or risk-reducing surgery, as well as challenges for management of breast cancer in patients with prior exposure to radiation for Hodgkin lymphoma.

A 44-year-old patient with a history of stage IIB colorectal cancer at the hepatic flexure, invading the duodenum and pancreas, was initially diagnosed in September 2005 and received modified Whipple surgery and 8 cycles of adjuvant chemotherapy with capecitabine and oxaliplatin every 3 weeks.

An asymptomatic 45-year-old woman presented for a screening mammogram and was noted to have a soft-tissue opacity with calcifications in the left breast. Ultrasound revealed a highly suspicious mass.

This feature examines the case of a patient with newly diagnosed breast cancer in the setting of a first-trimester pregnancy presenting to our multidisciplinary breast cancer clinic.

Published: September 15th 2015 | Updated:

Published: August 17th 2009 | Updated:

Published: November 15th 2016 | Updated:

Published: December 15th 2016 | Updated:

Published: January 15th 2017 | Updated:

Published: June 15th 2018 | Updated: