
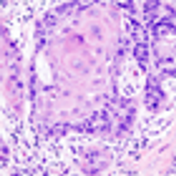
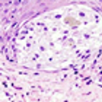
Melanoma can hide in pigmented tattoos, according to a new case report describing a young man with a malignant melanoma that developed within a large tattoo.

Your AI-Trained Oncology Knowledge Connection!


Melanoma can hide in pigmented tattoos, according to a new case report describing a young man with a malignant melanoma that developed within a large tattoo.

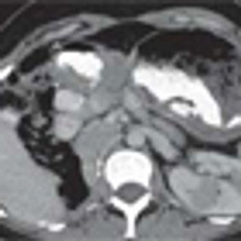
Undergoing nephron-sparing surgery for small renal masses substantially reduced the risk of moderate renal dysfunction compared with radical nephrectomy, but not that of kidney failure among patients enrolled in the EORTC 30904 trial.

Early treatment with lenalidomide and dexamethasone in patients with high-risk smoldering myeloma significantly delayed progression to symptomatic disease and prolonged survival with a good safety profile.

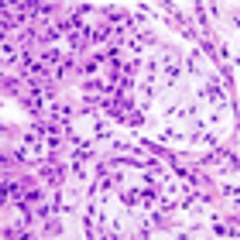
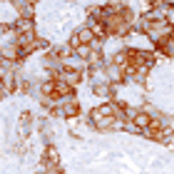
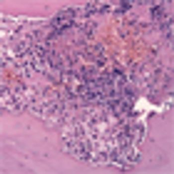
Neck dissection may no longer be the only surgical option for pathologic staging of the neck in patients with oral cavity squamous cell carcinoma, according to a new study.

Older multiple myeloma patients exposed to novel agents prior to autologous peripheral blood stem cell transplantation were at increased risk for engraftment syndrome.

More than one-third of patients with oropharyngeal cancer were seropositive for HPV16 E6 an average of 6 years prior to their cancer diagnosis compared with less than 1% of healthy controls, a new study has found.

Patients who received a prescription for a lethal dose of secobarbital as part of a Death with Dignity program qualitatively described being grateful for the prescription, whether or not it was used, according to a recent study.

General practitioners took longer to suspect a diagnosis of bladder or renal cancer in women compared with men, according to a recent study.

The results of two studies indicate that combining antibodies against the programmed death 1 (PD-1) receptor with an antibody against cytotoxic T-lymphocyte-associated antigen 4 (CTLA-4) improved treatment outcomes for patients with advanced melanoma, without a significant increase in adverse events.

A high skeletal muscle density has been linked to a twofold prolonged survival in patients with metastatic renal cell carcinoma compared with patients with low muscle density, according to a new study.

Last week, the FDA announced that it would grant priority review to pertuzumab (Perjeta), as a neoadjuvant treatment for women with HER2-positive early-stage breast cancer.

Adolescent and young white men are at a more than 50% increased risk for death from melanoma than women of the same age, a new study has found. The researchers called the difference “alarming.”

A 6-month regimen of treatment with trastuzumab for HER2-positive breast cancer failed to show noninferiority with the standard 12-month treatment regimen after 3.5 years of follow-up in the open-label, randomized, phase III PHARE trial.

Researchers have developed and tested a nomogram that uses various factors and can predict risk of recurrence in patients with major salivary gland carcinoma.

The International Myeloma Working Group recently released new recommendations to aid physicians in the treatment of bone disease related to multiple myeloma.

Prophylactic use of the SSRI escitalopram decreased the occurrence of depression in patients with head and neck cancers by 50% and resulted in significantly improved quality of life for 3 months after drug cessation, according to the results of the PROTECT trial.

Results from a first-in-human trial of daratumumab indicate that the investigational drug reduced paraprotein and bone marrow plasma cells at doses greater than 4 mg/kg in patients with advanced multiple myeloma.

The mTOR inhibitor everolimus failed to prove progression-free survival noninferiority compared with the VEGF-targeting tyrosine kinase inhibitor sunitinib when given as first-line treatment in patients with metastatic renal cell carcinoma.

Researchers observed durable responses in patients with renal cell carcinoma treated with the PD-L1 antibody MPDL3280A. The study, which was presented at the 2013 ASCO Annual Meeting, was one of the few immune therapy trials that allowed patients with non-clear cell histologies and some clinical activity was observed in these patients.

A high baseline level of soluble human epidermal growth factor receptor 2 (sHER2) was a prognostic indicator of shorter disease-free survival among patients with early-stage HER2-positive breast cancer, according to results from the North Central Cancer Treatment Group adjuvant trial N9831.

The use of a yoga program helped to reduce symptoms of insomnia among women with breast cancer undergoing hormonal therapy, and also resulted in an improved quality of life, according to new data presented at ASCO.

The use of magnetic resonance–guided focused ultrasound ablation therapy for the management of painful bone metastases resulted in a high rate of pain response that was rapid, durable, and clinically meaningful, according to an abstract presented at the 2013 ASCO Annual Meeting in Chicago.

Pomalidomide in combination with low-dose dexamethasone had a highly significant benefit on progression-free survival and overall survival compared with single-agent high-dose dexamethasone in patients with relapsed or refractory multiple myeloma, according to updated results of the MM-03 trial presented at the ASCO 2013 Annual Meeting.

Multiparameter flow cytometry and deep sequencing were both able to accurately identify patients with multiple myeloma who were negative for minimal residual disease, a factor that was found to better predict prolonged survival compared with complete response as measured by traditional response criteria.

The use of a single 8 Gy fraction of re-irradiation for the treatment of painful bone metastases was noninferior to multiple fractions, according to the results of the NCIC CTG SC.20 trial presented at the ASCO 2013 Annual Meeting in Chicago.

Results of a new study indicated that patients with terminal cancer are more likely to have completed a do-not-resuscitate order when they prefer, and believe that their caregiver prefers, comfort at the end of life.

The use of cannabis among men has been linked to a significantly decreased risk for bladder cancer, according to a recent study; however, no cause and effect association has been found.

The AUA recently released its first set of treatment guidelines addressing the treatment of men with metastatic castration-resistant prostate cancer (mCRPC) at its 2013 Annual Meeting. The guidelines were released to address the increasingly complex treatment landscape available for patients with mCRPC.

The American Urological Association (AUA) released a new clinical guideline detailing recommendations for the use of prostate cancer screening in average-risk men based upon evidence from a systematic literature review. The guideline, which was announced during the 2013 AUA Annual Meeting, recommends that men aged 55 to 69 years who are considering undergoing prostate cancer screening should talk with their physicians about the benefits and risks of screening.

The use of statins was independently associated with improvements in overall survival and disease-specific survival among a group of patients who had undergone partial or radical nephrectomy for renal cell carcinoma.