
A recent analysis of more than 7,000 adult cancer clinical trials has found that about 20% of trials fail to complete for reasons unrelated to efficacy or adverse events of the intervention.

Your AI-Trained Oncology Knowledge Connection!


A recent analysis of more than 7,000 adult cancer clinical trials has found that about 20% of trials fail to complete for reasons unrelated to efficacy or adverse events of the intervention.

The use of angiotensin system inhibitors significantly improved the survival of patients with metastatic RCC who were on the drug for the treatment of hypertension, according to the results of a retrospective study presented at the ASCO GU Symposium.

Adding a treatment course of local radiotherapy to hormonal treatment in men with locally advanced or high-risk prostate cancer more than halved the 10-year and 15-year prostate-cancer–specific mortality.

Patients with heavily pretreated metastatic gastrointestinal stromal tumors were able to tolerate combined treatment with the pan-deacetylase inhibitor panobinostat and imatinib, according to the results of a small phase I study.

Androgen inhibition with enzalutamide significantly reduced the risk of disease progression and increased survival among men with previously untreated metastatic prostate cancer, according to the results of the phase III PREVAIL trial.

Expressive writing is a brief and simple intervention that a recent study showed helped to reduce cancer-related symptoms and improved physical functioning in patients with renal cell carcinoma.

A phase II trial showed that patients with advanced gastrointestinal stromal tumors had a marginal response to pazopanib when assigned to the treatment after two or more failed therapies.

In a new study, melanoma patients who had CD30-positive T cells present in their sentinel lymph nodes were more likely to have disease progression compared with patients whose node biopsies were negative for these immune cells.

Results of a small study indicate that patients with gastrointestinal stromal tumors had increased activity of Src, but unlike in other tumors, it may be associated with longer overall survival.

Results of a phase II study indicate that the use of 1 month of intravenous high-dose interferon alfa-2b alone for the treatment of melanoma was not superior to the standard long-term regimen, and that further study of this approach is not warranted.

Completion of 6 cycles of adjuvant chemotherapy, rather than time of initiation, was an independent prognostic factor after resection of pancreatic adenocarcinoma, according to results taken from the phase III European Study Group for Pancreatic Cancer-3.

The International Myeloma Working Group recently released a consensus statement updating recommendations for the management and treatment of patients with multiple myeloma who are not eligible for standard autologous stem-cell transplantation.

Researchers have identified a potential new method for treating pancreatic cancer, using calcium to overload pancreatic cancer cells and, thus, induce cell death in cancerous cells while sparing healthy cells.

Two alternative multiple myeloma plasma cell surface markers have been identified and could be important for subclassification, prognostication, and treatment stratification of patients with multiple myeloma.

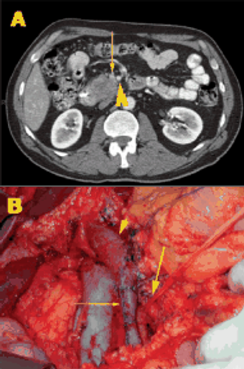
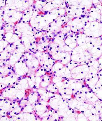
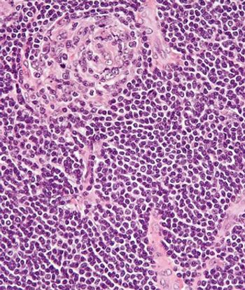
Expression of BAP1 could help identify which clear-cell renal cell carcinoma patients diagnosed with low-risk disease are the most likely to progress.

The introduction of survivorship care plans for cancer survivors may not be a cost-effective use of scarce health care resources, according to the results of a companion study of a randomized controlled trial.

A decreased diversity of gut microbiota was associated with an increased risk of colorectal cancer, according to the results of a new study.

Patients who exhibited certain clusters of symptoms after undergoing surgery for esophageal cancer were at an increased risk for mortality, according to the results of a prospective Swedish cohort study.

Major studies conducted to date looking at mammography screening and mortality have estimated that the number of women needed to be screened in order to prevent one breast cancer death ranged from 111 to 2,000, an almost 20-fold difference; however, the benefits of mammography may be more consistent than previously thought, according to a re-examination of these studies presented at the SABCS.

Trends in pancreatic mortality have gone in opposite directions for blacks and whites during the last few decades, a pattern which cannot be explained by known risk factors, according to researchers from the American Cancer Society.

Researchers at Kaiser Permanente were able to achieve complete histopathologic response in more than 40% of initially unresectable patients with pancreatic adenocarcinoma who underwent prolonged preoperative chemotherapy and were subsequently able to undergo surgical resection.

The aromatase inhibitor anastrozole reduced the risk for breast cancer by 53% among postmenopausal women at high-risk for the disease, according to trial results presented at SABCS.

Adding the drug dasatinib to standard antihormone therapy letrozole doubled the median progression-free survival of patients with hormone-receptor positive, HER2-negative breast cancer, according to the results of a small phase II study.

Surgical removal of primary breast cancer tumors had no benefit on overall survival in women who presented with metastatic breast cancer, according to the results of a study presented at SABCS.

Patients with HER2-positive breast cancer who achieved pathologic complete response had significantly improved event-free survival and overall survival over patients that did not, according to the trial results presented at SABCS.

Treatment with gemtuzumab ozogamicin improved the event-free survival in children and adolescents with acute myeloid leukemia by reducing the risk of relapse among those able to achieve remission, according to trial results presented at the 2013 ASH meeting.

Patients aged 70 years or older had similar survival outcomes compared to their younger counterparts when undergoing nonmyeloablative, related haploidentical bone marrow or peripheral blood stem cell transplants for the treatment of hematologic malignancies, according to the results of a study presented at the 2013 ASH meeting.

Patients with the rare and potentially deadly multicentric Castleman disease were able to achieve durable tumor and symptomatic response when assigned to treatment with the monoclonal antibody siltuximab, according to data presented at the 2013 ASH meeting.

Patients of non-white northern European descent have better access to transplant than ever before due to access to cord blood and haploidentical transplants, a new study presented at the ASH annual meeting indicated.

In two phase III trials, the mTOR inhibitor temsirolimus failed to improved progression-free survival outcomes for patients with metastatic renal cell carcinoma compared with other therapeutic options.