
Positive genetic risk information about melanoma may help to prompt people to discuss melanoma risk with a wider variety of family members, according to a new study.

Your AI-Trained Oncology Knowledge Connection!


Positive genetic risk information about melanoma may help to prompt people to discuss melanoma risk with a wider variety of family members, according to a new study.

Survivors of multiple myeloma and pancreatic cancer may have some of the poorest physical health-related quality of life outcomes, according to a new study.

More than twice as many cancer survivors at risk for cardiomyopathy underwent screening for the condition when exposed to advanced-practice nurse telephone counseling.

Nurses trained in the visual inspection with acetic acid cervical cancer screening method were able to successfully perform colposcopy and detect cervical lesions.

An increased intake of lycopene may be associated with a decreased risk for renal cell carcinoma, according to data from a study of postmenopausal women.

Ovarian cancer cells were detected by collecting and testing DNA specimens taken from the tampons of ovarian cancer patients prior to surgery for a pelvic mass.

Patients who experienced early relapse of multiple myeloma after undergoing autologous stem cell transplantation had worse progression-free and overall survival.

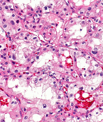
Partial nephrectomy may be just as effective as radical nephrectomy for the surgical removal of clinical T2 renal masses, results of a new study indicate.

People who underwent genetic and environmental risk assessment evaluating their colorectal cancer risk were no more likely to undergo screening for the disease.

Survivors of childhood Hodgkin lymphoma who went on to regularly complete vigorous exercise had a lower risk of cardiovascular events later in life.

Ninety percent of patients with relapsed/refractory acute lymphoblastic leukemia achieved complete remission after a T-cell therapy treatment targeting CD19.

Women with an overall higher quality diet prior to diagnosis with ovarian cancer may have a lower risk of all-cause mortality, according to a new study.

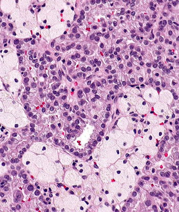
Marked differences in renal cell carcinoma subtype were observed by race and sex in patients who underwent nephrectomy at a large tertiary care academic center.

Only 14% of newly diagnosed lung or colorectal cancer patients reported discussing clinical trial participation with their physician, and fewer participated.

A recent study has confirmed that TERT promoter mutations are common genetic mutations in cutaneous melanoma, mutations that may be linked with poor prognosis.

Myeloma patients treated with melphalan prior to transplant had reductions in chemo-induced nausea/vomiting when given granisetron/dexamethasone and aprepitant.

Treatment with a BRAF and MEK inhibitor resulted in modest clinical efficacy in patients whose melanoma had progressed after treatment with a BRAF inhibitor.

A regimen of gemcitabine/dexamethasone/cisplatin was as effective and less toxic than the current standard of care for treating relapsed, refractory lymphoma.

Panobinostat added to bortezomib/dexamethasone for treating relapsed/refractory multiple myeloma improved progression-free survival and complete response rates.

An external validation study has confirmed that biomarkers of the mTOR pathway have prognostic value in patients with clear cell renal cell carcinoma.

Patients with non-high-risk APL can achieve better clinical outcomes when treated with ATRA plus arsenic trioxide compared with ATRA plus chemotherapy, a new study found.

In patients with recurrent or metastatic head and neck squamous cell carcinoma, afatinib better delayed cancer progression compared with methotrexate, according to results presented at the 2014 ESMO Congress.

Rolapitant added to granisetron/dexamethasone helped prevented chemotherapy-induced nausea and vomiting in patients treated with cisplatin-based chemotherapy, according to a study at the ESMO 2014 Congress.

Combining BRAF and MEK inhibitors resulted in better response, PFS, and overall survival compared with a BRAF inhibitor alone in BRAF-positive melanoma patients, according to results presented at the 2014 ESMO Congress.

Exposure to chemo or radiotherapy has no long-term negative mental or cardiac effects on children exposed to these cancer treatments while in the womb, according to a study presented at the 2014 ESMO Congress.

Data from a pooled analysis show that PET-CT provided better response assessment than did CT and predicted inferior survival in follicular lymphoma patients.

Almost three out of every four young oncologists in Europe may be experiencing burnout, according to data from the largest burnout survey conducted to date.

In patients with non–clear cell RCC, PD-L1 positivity is associated with worse clinical outcomes, including a shorter overall survival and time to recurrence.

Multiple myeloma patients may already suffer from sensory deficits prior to treatment, likely due to disease-related decreases in peripheral innervation density.

Results of a new study show that cancer rates among children and adolescents are stable, but rates of certain cancers such as renal carcinomas are increasing.