
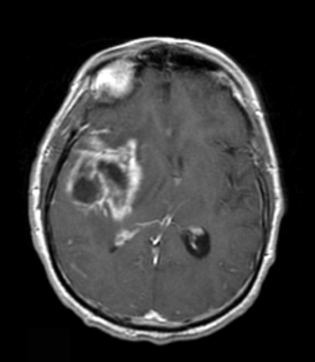
Positron emission tomography using [18]F-fluorothymidine as a tracer failed to distinguish true progression of glioblastoma from pseudoprogression in a small single-center study presented at the 2014 ASCO Annual Meeting.

Your AI-Trained Oncology Knowledge Connection!


Positron emission tomography using [18]F-fluorothymidine as a tracer failed to distinguish true progression of glioblastoma from pseudoprogression in a small single-center study presented at the 2014 ASCO Annual Meeting.

A reduced estimated glomerular filtration rate (eGFR) was found to be associated with a significantly increased risk for renal and urothelial cancer, according to the results of a recently published study.

The FDA has granted Merck’s anti-PD1 antibody MK-3475 a priority review designation for the treatment of unresectable or metastatic melanoma in patients who have previously been treated with ipilimumab.

High-dose interleukin-2 remains an important treatment for patients with metastatic renal cell carcinoma, producing durable responses even in those patients with chronic renal insufficiency, according to a recent study.

Five extra minutes of imaging time could improve detection rates of recurrence in patients undergoing postsurgical surveillance for sarcoma.

Distress screening programs will soon be a required component of care at cancer centers. Recommendations on the implementation of these programs were recently published.

Urban environments had a higher density of colorectal care providers including gastroenterologists, general surgeons, and radiations oncologists compared with rural environments, according to the results of a recent retrospective study.

Survivors of sarcoma have significant long-term mortality from both second cancers and noncancer-specific causes when compared with the general population, a large study showed.

An increased intake of vitamin A may result in a decreased risk for bladder cancer, according to the results of a meta-analysis.

A survey-based study out of Japan has revealed that more systematic approaches to nursing practices will be required to ensure ongoing patient safety and adherence as it relates to oral chemotherapy.

Neoadjuvant treatment with dose-dense methotrexate, vinblastine, doxorubicin, and cisplatin was well tolerated and should be considered a reasonable option for patients with muscle-invasive urothelial cancer, according to a new study.

Results of a preplanned interim analysis of the AVAST-M trial indicate that bevacizumab may have a beneficial effect on disease-free survival in patients with melanoma at high risk for recurrence.

A phase II trial of propylene glycol-free melphalan in patients with multiple myeloma has met its primary endpoint, according to a statement released by the drug manufacturer.

The NICE announced that newly diagnosed multiple myeloma patients will be guaranteed access to treatment with the proteasome inhibitor bortezomib (Velcade).

Treatment with panitumumab resulted in improved overall survival compared with bevacizumab when added to mFOLFOX6 for patients with wild-type KRAS exon 2 metastatic colorectal cancer.

Results from two large cohorts indicated that increasing blood pressure levels were associated with an increased risk for developing kidney cancer among both men and women.

Dual HER2-targeted treatment with T-DM1 and pertuzumab resulted in positive antitumor activity in patients with HER2-positive, locally advanced or metastatic breast cancer, with an overall response rate of 41%.

The addition of gemcitabine to a cisplatin- and ifosfamide-containing drug regimen resulted in a complete response rate of greater than 50% in patients with relapsed metastatic germ cell tumors, results of a phase II study indicated.

Men who used sildenafil (Viagra) had an 84% increased risk for developing melanoma, even after adjusting for known risk factors, according to the results of a prospective study.

The novel experimental drug sotatercept increased bone mineral density and bone formation in patients with osteolytic lesions of multiple myeloma who had not used bisphosphonates, a phase II study showed.

The addition of cetuximab to chemotherapy containing oxaliplatin and fluorouracil resulted in a significantly shorter progression-free survival in patients with operable KRAS exon 2 wild-type colorectal cancer liver metastases, according to results of a recent study.

A study of patient preference revealed that patients who participated in a crossover trial of pazopanib and sunitinib for metastatic renal cell carcinoma preferred treatment with pazopanib.

The greater distance a patient had to travel to reach a diagnosing facility the more likely that patient was to present with a higher stage disease of colon cancer, according to the results of a recent study.

Living alone increased a man’s risk for being diagnosed with later stage melanoma by more than 40%, according to the results of a recent Swedish study.

A recent review clarifies the major classification changes in the current 2013 WHO classification, and factors in new genetic data that has emerged since the publication of the current volume.

A phase I study of intermittent oral lapatinib in patients with HER2-amplified breast cancer escalated up to 7,000 mg per day (shown to be effective in mouse models), found that plasma concentrations of the drug did not increase proportionately with the oral dose, impeding clinical translation of this method.

Results of a new study indicate that half of patients with multiple myeloma were referred to specialist palliative care.

Combination treatment with ifosfamide and doxorubicin for advanced soft-tissue sarcoma did not improve overall survival compared with treatment with doxorubicin alone, despite improvements in both overall response and progression-free survival.

Multidisciplinary care teams are an important aspect of patient-centered care and are slowly become more common place at community cancer centers. For those working at smaller hospitals or centers, it is important to use every type of resource available and in a lot of cases those resources include the nonclinical care force including family members, clergy, and volunteers.

By the year 2020 it is estimated that about 18% of the US population will be Medicare eligible and growing advances in the treatment of cancer have significantly increased the number of cancer survivors. These two growing populations have large implications on the demand for cancer services.