
Man With Locally Advanced, High-Risk Prostate Cancer Asks About Adding Chemotherapy to His Treatment
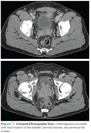
A 55-year-old Hispanic male presents with a family history of gastric cancer in one sibling and prostate cancer in an older brother. CT performed in March 2015 for IMT surveillance showed a heterogeneous prostate with local invasion involving the bladder, seminal vesicles, and perirectal fat.



