
These results could present an opportunity to broaden inclusion criteria on clinical trials and intensify chemoradiotherapy treatments.

Your AI-Trained Oncology Knowledge Connection!



These results could present an opportunity to broaden inclusion criteria on clinical trials and intensify chemoradiotherapy treatments.

The drug candidate tipifarnib (Zarnestra) is being clinically studied for the treatment of patients with HRAS-mutant head and neck squamous cell carcinoma after progression on platinum therapy.

True acupuncture resulted in fewer and less severe radiation-induced xerostomia symptoms in this phase III study.

Predictive models demonstrated the ability to anticipate adverse opioid-related outcomes among cancer survivors.

Researchers found that there is an increasing incidence of late stage head and neck cancer in the U.S., highlighting the need for continuous public health efforts toward early detection.

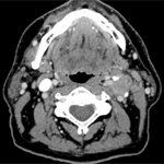
A new possible surveillance model suggests scanning patients with head and neck cancer treated with radiotherapy less frequently could be more cost-effective and time-effective.

Machine learning of ultrasound scans could provide a preliminary method of screening for thyroid cancer.

A new inhibitor may help patients with a certain subset of head and neck squamous cell carcinoma.

Researchers assessed whether patients with head and neck cancer who had higher levels of tumor-infiltrating lymphocytes had better survival rates.

Researchers assessed whether patients with head and neck cancer who had higher levels of tumor-infiltrating lymphocytes had better survival rates.

Researchers assessed whether patients with head and neck cancer who had higher levels of tumor-infiltrating lymphocytes had better survival rates.

Researchers assessed whether patients with head and neck cancer who had higher levels of tumor-infiltrating lymphocytes had better survival rates.

Researchers assessed whether patients with head and neck cancer who had higher levels of tumor-infiltrating lymphocytes had better survival rates.

Data from a new study show the importance of taking preventative measures against contracting human papillomavirus, including urging patients to get the HPV vaccine.

Researchers compared the swallowing-related quality-of-life scores of patients with oropharyngeal squamous cell carcinoma who received radiotherapy and patients who received transoral robotic surgery with neck dissection.

A new study looked at what methods were used to detect recurrences of human papillomavirus (HPV)-associated oropharyngeal squamous cell carcinoma to see if surveillance guidelines recommended by the National Comprehensive Cancer Center were effective.

Researchers surveyed patients who underwent surgery for thyroid cancer and found a high number reported voice abnormalities post-operation.

Potential new developments have been made in detecting sentinel lymph nodes for patients with localized oral cancers.

The FDA approved pembrolizumab for the first-line treatment of patients with metastatic or unresectable recurrent head and neck squamous cell carcinoma.

The phase III KEYNOTE-048 study compared pembrolizumab plus chemotherapy vs the EXTREME regimen in patients with recurrent/metastatic head and neck cancer.

Experts discuss the PD-1 checkpoint inhibitors nivolumab and pembrolizumab in the management of head and neck cancer, and how to choose between them.

Erin McMenamin, CRNP, of Penn Medicine, discusses how oral side effects affect head and neck cancer patients.

Survivors of oropharyngeal cancers who developed late lower cranial neuropathy reported having worse treatment-related symptoms.

For patients undergoing primary treatment for head and neck cancer, sexuality was significantly impacted in many patients both prior to and during cancer treatment.

The CoGAPS gene activity algorithm may elucidate molecular changes that occur as H&N tumors acquire resistance to cetuximab, says a Johns Hopkins team.