
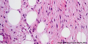
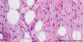
Oropharyngeal small-cell carcinoma was more likely to present as distant disease and was associated with worse survival outcomes compared with squamous cell carcinoma, according to new research.

Your AI-Trained Oncology Knowledge Connection!


Oropharyngeal small-cell carcinoma was more likely to present as distant disease and was associated with worse survival outcomes compared with squamous cell carcinoma, according to new research.

This video reviews ongoing trials testing immunotherapy for patients with head and neck cancer.

In this video we discuss efforts to reduce treatment doses in order to lessen long-term side effects and improve quality of life among patients with head and neck cancers.

Head and neck cancer patients who have a human papillomavirus (HPV) infection detectable with a blood-based biomarker have a better prognosis compared with HPV-negative patients.

The US Food and Drug Administration (FDA) in record time has approved nivolumab (Opdivo) for the treatment of patients with recurrent or metastatic squamous cell carcinoma of the head and neck (SCCHN) with disease progression on or after a platinum-based therapy.

A study presented last month at ASTRO found that better radiation outcomes for head and neck cancer were associated with higher facility volume.

Chronic sinusitis is associated with three rare types of head and neck cancer, including nasopharyngeal cancer, HPV-related oropharyngeal cancer, and nasal cavity and paranasal sinus cancers.

A 45-year-old man presents with a mass in the right neck. After the biopsy is performed, what is your diagnosis?

Clinicians now have a new treatment option for patients with recurrent or metastatic head and neck squamous cell carcinoma.

In this Medical News Minute, developed exclusively for Cancer Network, Dr. Bobby Lazzara discusses the recent priority review of nivolumab for use in metastatic head and neck cancer.

In this interview we discuss a joint statement from MD Anderson and 68 other NCI-designated cancer centers that calls for increased HPV vaccination for the prevention of cancer.

In this interview, Theodoros Teknos, MD, discusses the results of his current phase I trial of vorinostat (Zolinza) in advanced head and neck cancer.

To date, there is still no strong evidence that induction chemotherapy improves outcomes for locally advanced head and neck cancer.

Selumetinib has received Orphan Drug Designation status by the US Food and Drug Administration to be used as an adjuvant treatment in patients with stage III or IV differentiated thyroid cancer.

Researchers at Boston University School of Medicine have identified a marker that can detect carcinoma-associated fibroblasts (CAFS) in oral cancer tissues.

Dental exams and procedures should occur before treatment begins for patients with head and neck cancer and other malignancies, and post-treatment dental follow-up care should be life-long for cancer survivors.

In this interview, we speak with Dr. Robert Ferris about the results from the CheckMate-141 study, which investigated the efficacy of nivolumab in head and neck cancer.

Immunotherapy treatment with nivolumab significantly improved survival among patients with recurrent or metastatic head and neck squamous cell carcinoma.

Undergoing surveillance with PET/CT resulted in similar survival to planned neck dissection in patients with squamous cell carcinoma of the head and neck with nodal disease who have completed chemoradiotherapy.

The combination of radiation therapy plus cetuximab had higher rates of acute toxicity among patients with locally advanced squamous cell carcinoma of the head and neck compared with radiation therapy plus cisplatin.

Compared to the general population, the rate of suicide is three times more frequent among head and neck cancer patients, according to a retrospective study.

This article reviews the pathology and current evidence on systemic therapies for the management of advanced salivary gland cancers that are not amenable to local therapy.

The diversity and complexity, combined with the rarity of salivary gland malignancies, lead to definite and distinct challenges in their study, and consequently in advancing treatment options for affected patients.

Undergoing primary surgery may be the best treatment option for patients with advanced oropharyngeal and hypopharyngeal cancers.

Pretreatment depression was linked with poorer nutritional and survival outcomes among newly diagnosed patients with head and neck squamous cell carcinoma.