
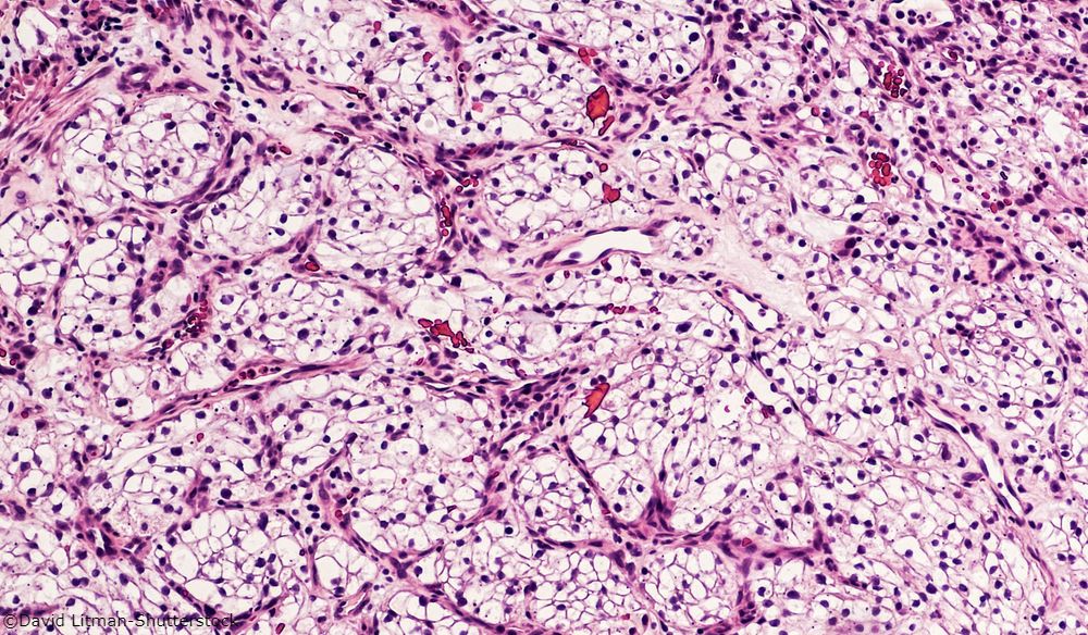
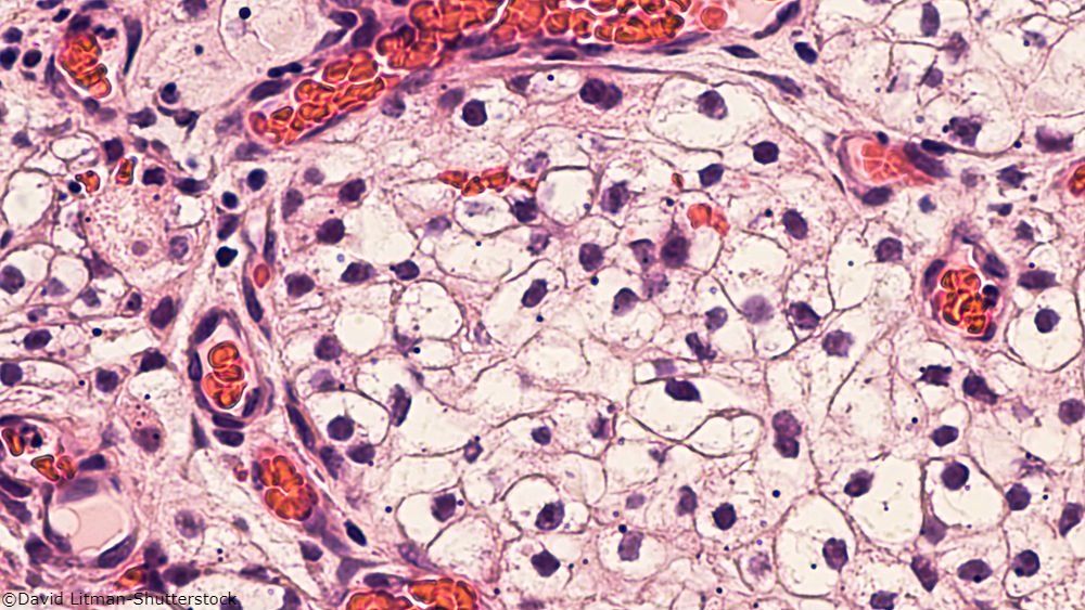
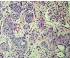
Kidney Cancer
Latest News
Latest Videos

CME Content
More News

Treatment with pembrolizumab plus axitinib improved response and survival compared with sunitinib in patients with advanced, or metastatic clear-cell renal cell carcinoma.

Delayed dose escalation may be an option for mRCC patients with concerns about drug-related toxicity or quality of life optimization.

A study found the gene mutations key in patients treated with first-line TKIs, and useful additions to a risk model that stratifies patients with mRCC.

A study shows stage III renal cell carcinoma patients with nodal disease may need to be reclassified.

A study shows RCC patients overall response rate did not decline from the first‐line to the fourth‐line of IO therapy.

A radiographic measure may help clinicians distinguish between benign renal oncocytoma and chromophobe renal cell carcinoma.

A study shows T1a RCC patients have improved overall survival when receiving partial nephrectomy compared with radical nephrectomy.

ZHX2 has been identified as a possible new therapeutic target for clear cell RCC patients.

Concentrations of KIM-1 in the blood may predict for renal cell carcinoma up to 5 years prior to diagnosis.

Cross-sectional, long-term imaging is shown to be important for patients with high-risk resected non–clear cell RCC.

A study shows that microRNA depresses PLAG1, causing tumor growth in Wilms tumors.

The inverse association between circulating DBP and risk of RCC support emerging evidence for an etiologic role of DBP in cancer.

A nested case-control study found that the association between obesity and RCC varies depending on subtype.

PFS, tumor response, and safety outcomes were similar in patient cohorts under age 75 vs those 75 years of age and older.

The statement emphasizes strategies for multidisciplinary care, and proposes an algorithm for clinical management of bone metastasis in RCC.

More than 20% of patients with non–clear cell RCC had a germline mutation, and half of this group could benefit from direct systemic therapy.

This is the first diagnostic classification of RCCs in patients younger than age 30 prospectively registered in a cooperative group clinical study.

In RCC patients on anti–PD-1 therapy, besides the indel count link to better OS, baseline tumor infiltration with M2 macrophages predicted improved PFS.

Making some changes to the gut microbiome may improve outcomes with immune checkpoint inhibitors in renal cell carcinoma.

In the Italian RESORT trial, sorafenib did not affect recurrence-free survival in patients with mRCC following radical resection of metastases.

Pembrolizumab monotherapy showed promising antitumor activity in clear cell RCC in the phase II KEYNOTE-427 trial.

Patients treated for RCC with atezolizumab plus bevacizumab reported fewer impacts to daily function and quality of life than those on sunitinib.

For many patients diagnosed with metastatic renal cell carcinoma, sunitinib alone is not inferior to surgery followed by sunitinib.

Preliminary findings for pegilodecakin plus immune checkpoint inhibition suggest that the combination is tolerable and shows clinical activity.

No one molecular biomarker is likely to guide treatment of RCC in the foreseeable future. Multipredictor models might be a way forward, an expert concluded.



























































