
Kidney Cancer
Latest News
Latest Videos

CME Content
More News

In this review, we summarize the diagnosis of small renal masses, the role of renal mass biopsy, different treatment strategies, and future directions, including emerging molecular biomarkers.

Despite improved understanding of the molecular features of renal tumors, increasing expertise in surgical management of localized renal cancers, and multiple effective systemic therapies for metastatic cancer, mortality from renal cell carcinoma remains largely unchanged.

Anti-programmed cell death protein 1 (PD-1) checkpoint inhibitor immunotherapy with nivolumab is safe and effective even after disease progression among patients with metastatic RCC.

The majority of patients with clear cell renal cancer saw benefit from pazopanib therapy prior to undergoing cytoreductive nephrectomy, according to a single-arm study.

A phase II trial found that cabozantinib offers significantly better progression-free survival over sunitinib in patients with untreated advanced RCC.

Partial nephrectomy yields similar oncologic outcomes to radical nephrectomy for patients with stage T3a renal tumors after 5 years, according to results of a new study.

The FDA approved lenvatinib (Lenvima) in combination with everolimus for the treatment of advanced renal cell carcinoma.

A 56-year-old man presented with a 4.5-cm leftsided renal mass incidentally discovered on an ultrasound performed for workup of lupus nephritis. On dedicated contrast-enhanced magnetic resonance imaging (MRI), the tumor was found to be avidly enhancing.

Clinicians now have a new targeted therapy option for treating patients with advanced renal cell carcinoma (RCC) who have received prior antiangiogenic therapy.

Targeted therapies have offered striking improvements in survival rates among white patients who are diagnosed with clear cell renal cell carcinoma (ccRCC) in recent years, but survival rates for African Americans have not budged.

The combination of the novel histone deacetylase inhibitor entinostat and high-dose interleukin-2 yielded a promising response rate in patients with metastatic renal cell carcinoma.

Progression-free survival in advanced renal cell carcinoma patients treated with cabozantinib was nearly doubled compared with those treated with everolimus, according to data from the METEOR trial.

A new study has confirmed the safety and efficacy of pazopanib in a real-world setting of patients with metastatic renal cell carcinoma (mRCC) and validates the International Metastatic Renal Cell Carcinoma Database (IMDC) prognostic model in this patient population.

Administering pharmacological prophylaxis against venous thromboembolism (VTE) did not decrease the occurrence of VTE in patients treated with robotic partial nephrectomy, and it did not increase the rate of hemorrhagic events.

The FDA has approved the anti–PD-1 immunotherapy nivolumab (Opdivo) for the treatment of metastatic renal cell carcinoma.

A 42-year-old man presented with increasing right hip pain that limited his ability to walk. Magnetic resonance imaging (MRI) revealed a right lytic acetabular lesion. Further work-up included a computed tomography (CT) scan, which revealed an 8-cm left kidney tumor.

A new study suggests that certain mutagens formed during the cooking of meat are linked to a risk of renal cell carcinoma (RCC).

Patients with renal cell carcinoma whose disease progressed after previous VEGF therapy saw increased delays in disease progression when treated with lenvatinib.

Follow-up of patients with resected non-metastatic RCC should be based on a combination of risk factors for disease recurrence and risk for non-RCC death.

Older patients taking the oral TKIs sorafenib and sunitinib for RCC had a significantly increased risk for cardiovascular events, particularly stroke.

Cabozantinib significantly delayed progression of disease compared with everolimus in patients with advanced clear cell renal cell carcinoma.

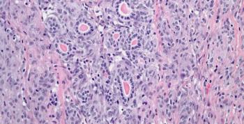
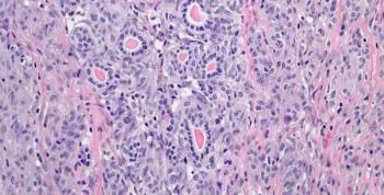
A 20-year-old young man presents with hypertension and a left kidney mass. After further evaluation, a biopsy is performed. What is your diagnosis?

A 47-year-old man presents with pain in the right flank. A kidney mass is found on imaging.

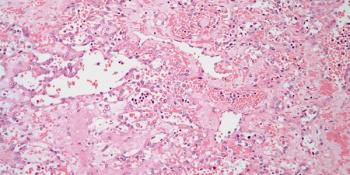
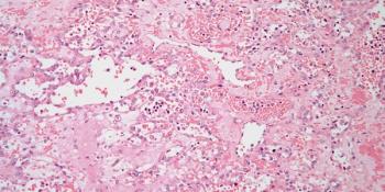
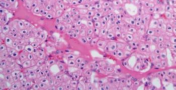
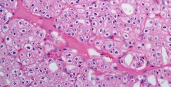
A 63-year-old man presents with a mass in the left kidney. After further evaluation, a biopsy is performed. What is your diagnosis?

A combination of lenvatinib plus everolimus improved survival and overall response compared with everolimus alone in metastatic renal cell carcinoma patients.
























































































