
Leukemia
Latest News


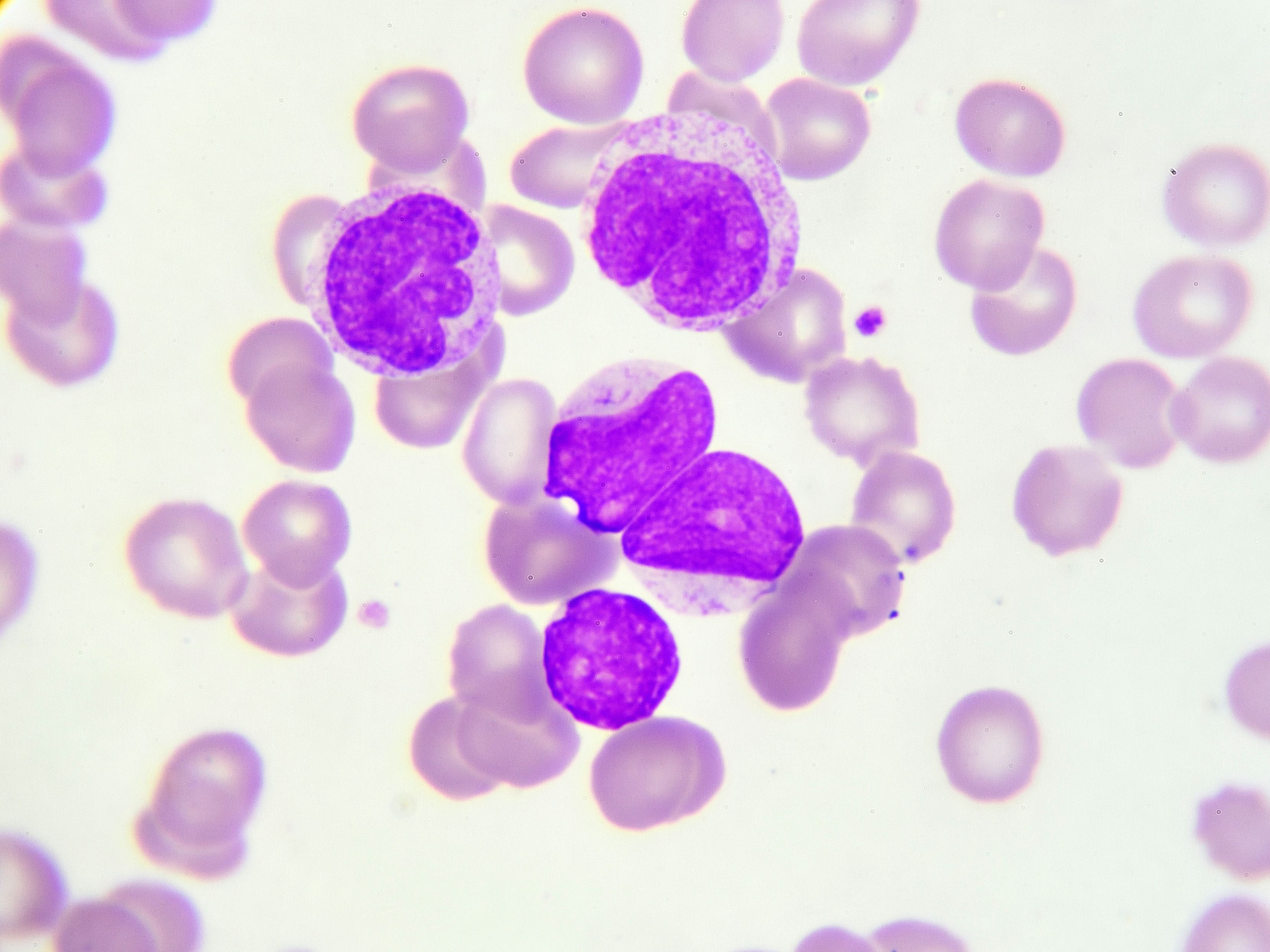
AMG 716 Plus Gilteritinib Demonstrates Effective Preclinical Activity in FLT3-ITD+ AML
Latest Videos

CME Content
More News

According to a single-institution study of patients with a known or suspected diagnosis of AML or MDS, whole-genome sequencing may provide better predictive ability of patients’ risk status than traditional methods.

Treatment with gilteritinib, compared with salvage chemotherapy, improved overall survival in patients with relapsed/refractory FLT3 mutation–positive acute myeloid leukemia, according to a planned interim analysis of a phase 3 trial.

The FDA approved a revised label for daunorubicin/cytarabine to treat newly-diagnosed therapy-related acute myeloid leukemia (AML) or AML with myelodysplasia-related changes (AML-MRC) in pediatric patients aged 1 and older.

Follow-up of 4.8 years to a phase 1 trial demonstrated that deep and durable responses are attainable in a large cohort of children and young adult patients with B-cell acute lymphoblastic leukemia who were treated with CD19-directed CAR T-cell therapy followed by allogeneic hematopoietic stem cell transplantation.

GT Biopharma announced updated data focusing on its therapeutic candidate, GTB-3550, to treat certain patients with myelodysplastic syndromes and acute myeloid leukemia.

Children, adolescents, and young adult patients in first B-cell acute lymphoblastic leukemia relapse did not experience a statistically significant disease-free survival benefit with blinatumomab treatment compared with chemotherapy.

“As the first AML trial to use MRD negative CR as a primary endpoint, our trial is breaking new ground that may help deliver effective, targeted therapies more expeditiously to patients living with this devastating disease,” Bischofberger said.

The new combination treatment of ublituximab plus ibrutinib resulted in a higher overall response rate and a tolerable safety profile for patients with relapsed or refractory high-risk CLL.

The GREEN trial analyzed treatment with obinutuzumab monotherapy or obinutuzumab plus chemotherapy for patients with previously untreated or relapsed/refractory chronic lymphocytic leukemia.

In this study, investigators sough to determine the incidence of CRLF2 rearrangements and IKZF1 deletions in Hispanic versus non-Hispanic children with B-cell acute lymphoblastic leukemia.

Amgen announced data from a phase 3 study that found blinatumomab showed prolonged event-free survival compared to consolidation chemotherapy in patients with relapsed acute lymphoblastic leukemia.

“The [phase 1b/2] data [are] promising and support the current phase 3, multicenter trial, which we hope will lead to FDA approval and a new much-needed treatment option for this patient population,” said David Sallman, MD.

Study results from the Journal of Medical Internet Research indicated that medication adherence by way of reminders on mobile devices for patients with acute lymphoblastic leukemia and their caregivers may have validity.

Treatment with PARP Inhibitors Increased Risk of Myelodysplastic Syndrome and Acute Myeloid Leukemia
A study published in The Lancet Hematology found an increased risk of developing myelodysplastic syndrome and acute myeloid leukemia when patients with cancer were treated with PARP inhibitors compared with placebo.

Data published in Patient Preference and Adherence found communication improved between patients with CLL and their oncologists when the risk of adverse events and patient goals were top of mind.

Data published in Cancer Discovery determined Black patients with acute myeloid leukemia have considerably worse overall survival rates than White patients with the same disease.

Data in The Lancet promoted a tolerable safety profile and future feasibility of UCART19 administration among patients with relapsed and refractory B cell ALL.

The FDA has granted breakthrough therapy designation to asciminib for the treatment of adult patients with Philadelphia chromosome–positive chronic myeloid leukemia in chronic phase who have been previously treated with 2 or more tyrosine kinase inhibitors; or who harbor the T315I mutation.

These data are the first to demonstrate that JSP191 is safe and effective in in older adult patients undergoing nonmyeloablative allogeneic hematopoietic cell transplantation for MRD-positive acute myeloid leukemia or myelodysplastic syndrome.

Tisagenlecleucel has already received FDA approval and is now available at some treatment centers, thereby imparting significance to results about tocilizumab use in patients at-risk for severe cytokine release syndrome.

When also considering age and Rai score, the effect of Charlson comorbidity index score on mortality was found to be statistically nonsignificant for patients with chronic lymphocytic leukemia, although higher scores were associated with worse overall and relative survival.

Based on the results of an analysis, investigators suggested that if high-dose daunorubicin and cytarabine is the selected consolidation treatment for younger patients with acute myeloid leukemia, a fourth course of therapy is likely beneficial for most.

Data published in JAMA Oncology found boosts in quality of life in addition to improvements in depression, anxiety, and posttraumatic stress symptoms for patients with acute myeloid leukemia receiving integrated palliative and oncology care.

Overall, the phase 3 ELEVATE-RR trial demonstrated efficacy of acalabrutinib and a safety and tolerability profile that with was consistent with that observed in the broader acalabrutinib clinical development program.

Findings from a phase 1/2 trial indicate that lisocabtagene maraleucel plus ibrutinib may represent a viable treatment option for patients with heavily pretreated chronic lymphocytic leukemia or small lymphocytic lymphoma and high-risk disease features.


























































































