
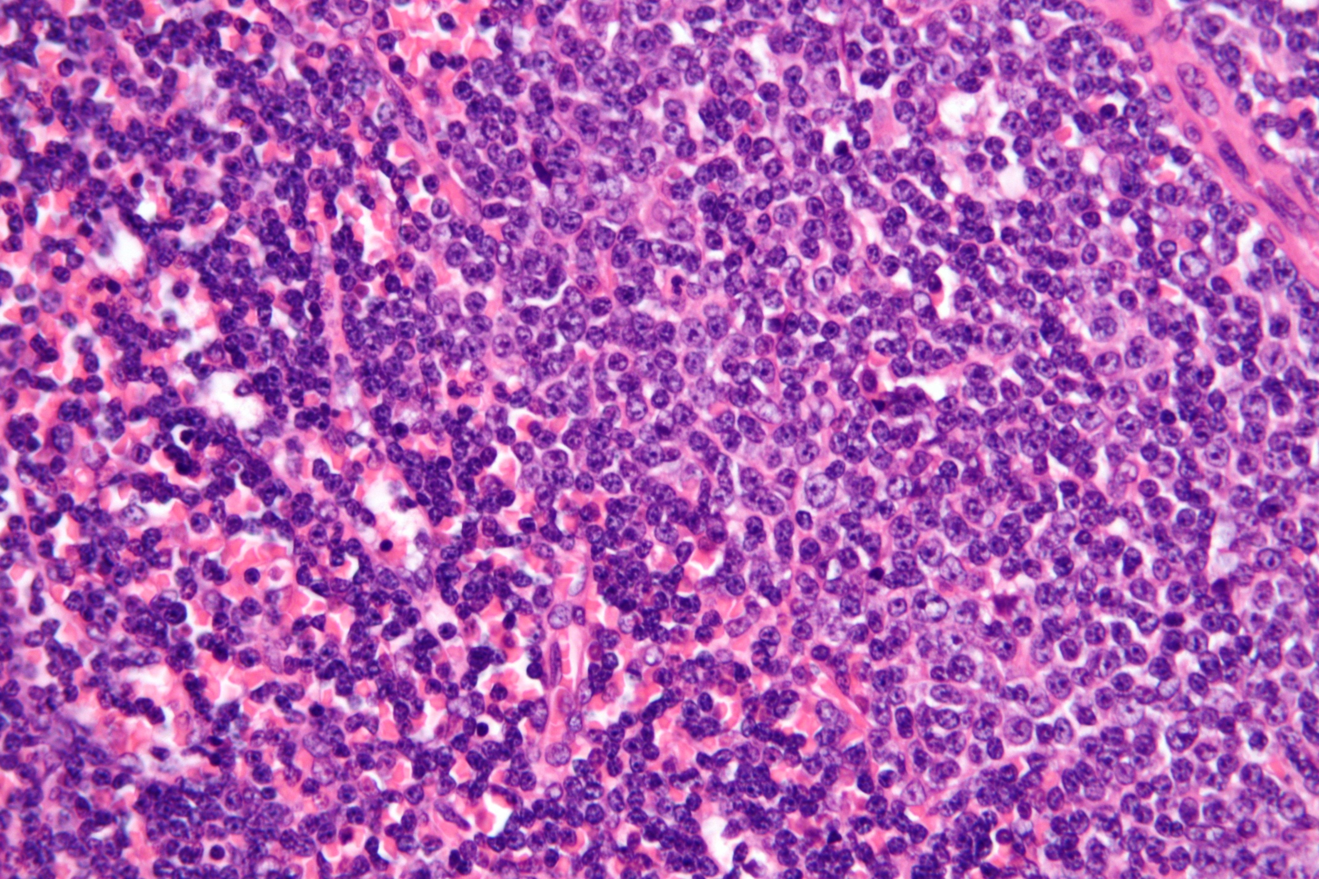
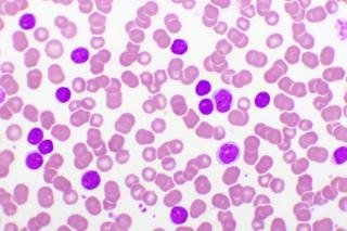
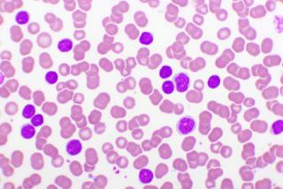
Leukemia
Latest News
Latest Videos

CME Content
More News

“Based on the results of the QUAZAR study, it is very exciting to think that, by taking a tablet that is relatively well tolerated, we can help reduce relapse risk and improve survival,” lead study author Andrew H. Wei, MB, BS, PhD, said in a press release.

Short expanded on the future of acute lymphoblastic leukemia and transplantation necessity at the 2020 ASH Annual Meeting & Exposition.

Short described the importance of the time point of CR outcomes for patients treated as part of an ALL study presented at the 2020 American Society of Hematology Annual Meeting & Exposition.

The leukemia expert discussed the clinical implications of findings demonstrating improved response for patients with acute myeloid leukemia with IDH mutations.

Short discussed currently available assays for MRD detection, blinatumomab treatment, and other implications from an ALL study presented at the 2020 ASH Annual Meeting.

The leukemia expert offered an overview of agents approved by the FDA this year.

Dan Pollyea, MD discusses the response rate and overall survival of venetoclax for patients with acute myeloid leukemia with IDH mutations.

Short summarized the NGS-based MRD findings from his ALL study presented at the 2020 ASH Annual Meeting.

Based on the recommendation of an independent data monitoring committee, Astellas has halted enrollment in the trial and is reviewing the results for further actions needed.

The FDA approved the supplemental new drug application for ponatinib (Iclusig) to treat patients with chronic-phase chronic myeloid leukemia (CML) with resistance or intolerance to at least two prior kinase inhibitors.

Pollyea discussed the rationale behind a study of venetoclax and azacitidine for patients with acute myeloid leukemia with IDH mutations

The agent was designed as an orphan drug for the treatment of pancreatic cancer, acute myeloid leukemia, myelodysplastic syndrome, peripheral T-cell lymphoma, Burkitt’s lymphoma, and soft tissue sarcoma.

The allogeneic off-the-shelf CD22-directed T-cell product, UCART22, showed early signs of activity and no evidence of unexpected toxicities for adult patients with relapsed/refractory CD22-positive B-cell acute lymphoblastic leukemia.

Data from initial dose cohorts of a phase 1/2 trial indicated the agent was found to safely drive natural killer cell proliferation in patients with high-risk myelodysplastic syndromes and acute myeloid leukemia.

A phase 2 trial found that SY-1425 and azacitidine demonstrated clinical activity with acceptable tolerability in a heavily pretreated population of patients with relapsed/refractory acute myeloid leukemia with RARA positivity.

In preliminary findings from the ongoing first-in-human KOMET-001 trial, KO-539 showed activity in patients with relapsed or refractory acute myeloid leukemia.

An integrated analysis of 2 phase 3 studies with up to 6.5 years of follow-up reported the outcomes of first-line ibrutinib (Imbruvica) in patients with chronic lymphocytic leukemia and small lymphocytic lymphoma and high-risk genomic features.

This pooled analysis from 4 clinical trials suggested that though patients with TP53 aberrations remain at risk for progression, first-line treatment with ibrutinib has meaningfully improved the poor prognosis in this high-risk population.

Census tract socioeconomic status information demonstrated significant disparities between survival outcomes of non-Hispanic white, non-Hispanic black, and Hispanic patients with acute myeloid leukemia AML in the Chicago metropolitan area.

Azacitidine, was shown to significantly prolong overall survival and relapse-free survival in patients with acute myeloid leukemia in first remission regardless of the number of rounds of prior consolidation therapy.

Treatment with the oral agent showed sustained health-related quality of life compared with placebo in patients with acute myeloid leukemia, according to results of the phase 3 QUAZAR AML-001 trial.

The leukemia expert discussed exciting research being presented at this year’s ASH Annual Meeting.

Following a fixed-treatment duration of ibrutinib combined with venetoclax achieved similar 1-year disease-free survival in patients with previously untreated chronic lymphocytic leukemia/small lymphocytic lymphoma.

Treatment with the combination regimen improved progression-free survival (PFS) and overall survival (OS) over a 5-year period compared with patients treated with bendamustine and rituximab.

The assistant professor of Medicine in the division of Hematology and Medical Oncology at Weill Cornell Medicine spoke about exciting research coming out of ASH for patients with chronic lymphocytic leukemia.




























































































