
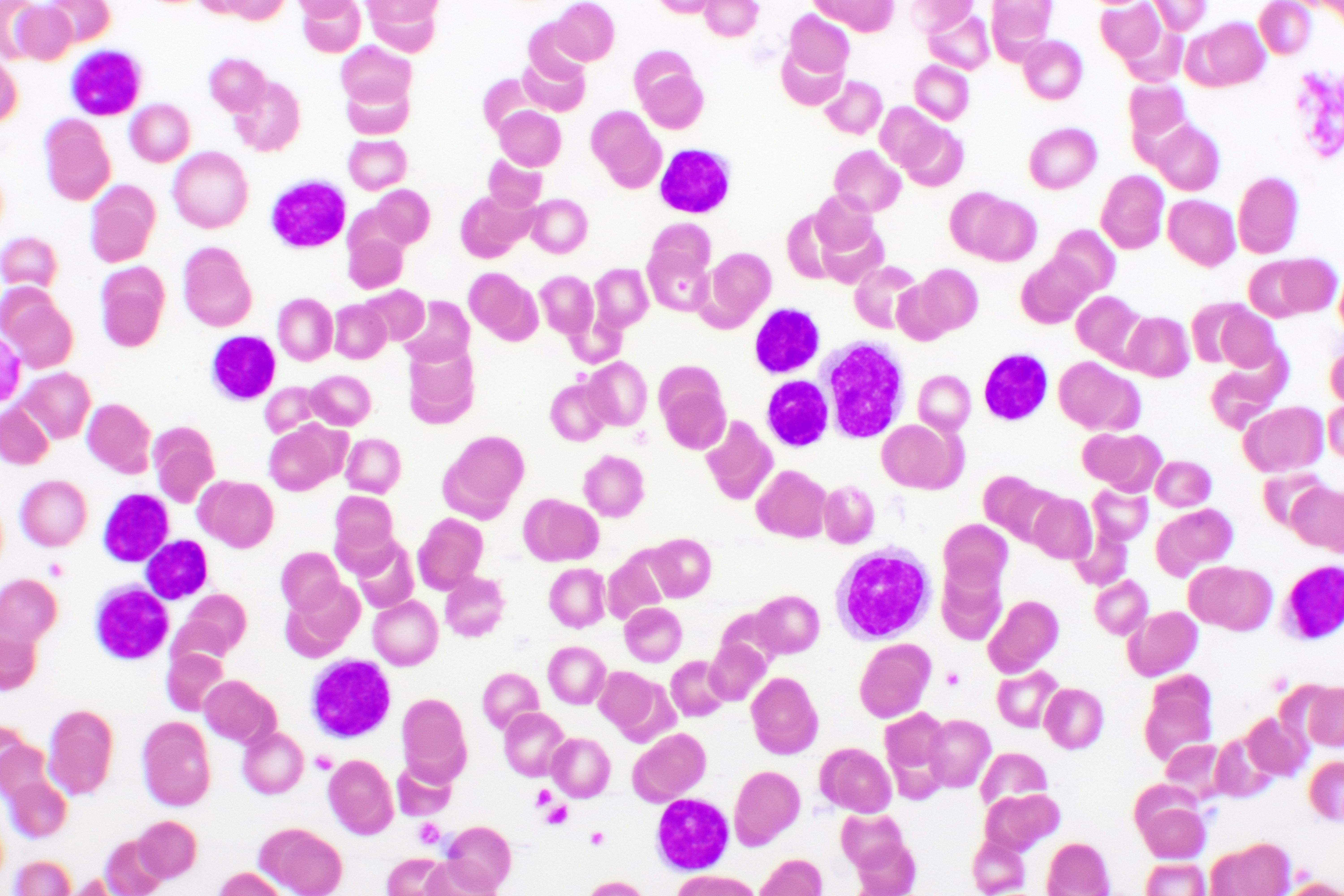
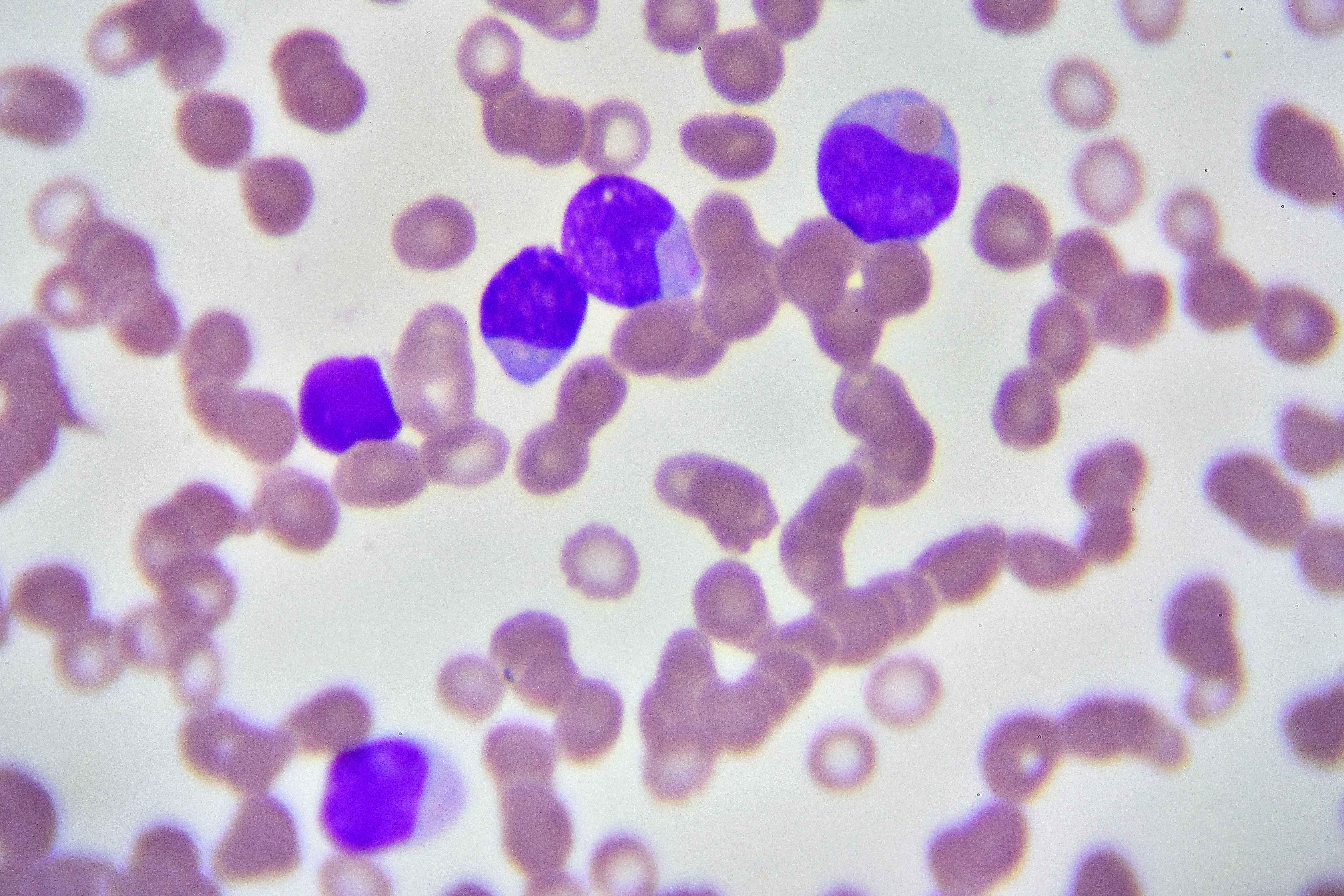
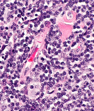
Leukemia
Latest News

Latest Videos
CME Content
More News

According to researchers, this “group represents more than 20% of children and young adults with ALL, and an increase in attention to adherence, supportive care, and logistics for patients living [more than 50] miles from their treatment center is warranted.”

According to researchers, these “results suggest that both schedules of decitabine are safe and effective in the population assessed.”

Researchers found that long-term treatment-free remission was not impaired by low-dose TKI regimens for patients with chronic myeloid leukemia.

The study was evaluating whether a multicomponent intervention, compared with education alone, would result in a higher proportion of patients with ALL who have mercaptopurine adherence rates of 95% or higher.

The combination was found to be safe and improved overall survival over azacitidine alone in certain patients with acute myeloid leukemia.

The tablets were approved for the continued treatment of adult patients with acute myeloid leukemia who achieved first complete remission (CR) or CR with incomplete blood count recovery (CRi) following intensive induction chemotherapy and who are not able to complete intensive curative therapy.

Per the FDA, the new draft guidance represents an updated approach to clinical trial design and regulatory submissions.

The study is evaluating asciminib in adult patients with Philadelphia chromosome-positive chronic myeloid leukemia in chronic phase who were previously treated with 2 or more tyrosine-kinase inhibitors.

The study is evaluating enasidenib (Idhifa) plus best supportive care versus conventional care regimens in patients with relapsed or refractory acute myeloid leukemia with an isocitrate dehydrogenase-2 mutation.

The multi-institution trial randomized patients with acute myeloid leukemia to receive either a combination of venetoclax and azacitidine or azacitidine plus placebo.

The American Society of Hematology released guidelines that “take providers through the conversations they have with newly diagnosed patients, almost in real-time.”

The FDA cleared the clonoSEQ assay to detect and monitor minimal residual disease in blood or bone marrow from patients with chronic lymphocytic leukemia.

The MD Anderson Cancer Center expert discussed the future of acute myeloid leukemia treatment, and how the field is evolving rapidly.

Biosight Ltd announced that the FDA granted fast track designation to aspacytarabine for the treatment of adult patients aged 75 years or older with acute myeloid leukemia.

The MD Anderson Cancer Center expert discussed next steps in the evaluation of ivosenidib plus venetoclax, with or without azacytidine, in patients with IDH1-mutated acute myeloid leukemia.

The CLL expert spoke about the implications of this study for patients and how patients can apply this knowledge to their own course of treatment.

The MD Anderson Cancer Center expert spoke about the efficacy of ivosenidib plus venetoclax, with or without azacytidine, in patients with IDH1-mutated acute myeloid leukemia.

FACT-Leu was found to be a suitable outcome measure for patients not eligible for intensive therapy in acute myeloid leukemia clinical trials.

Researchers suggested that the use of the oral agent over a prolonged period of time should now be considered part of the overall treatment plan in acute promyelocytic leukemia.

The chronic lymphocytic leukemia expert spoke about the possible use of venetoclax plus dose-adjusted R-EPOCH in various hematologic patient populations.

At the 2020 ASCO Virtual Program, Courtney DiNardo, MD, presented on a study of the combination therapy consisting of ivosenidib plus venetoclax with or without azacytidine patients with IDH1-mutated acute myeloid leukemia.

A multicenter phase 2 study of patients with chronic lymphocytic leukemia who developed Richter’s syndrome, presented at the 2020 ASCO Virtual Scientific Program, assessed the use of this treatment combination.

The FDA extended the indication of gemtuzumab ozogamicin (Mylotarg) for newly diagnosed CD33-positive acute myeloid leukemia to include pediatric patients who are 1 month and older.

Both the phase 2 ACE-CL-001 trial and the pivotal phase 3 ASCEND trial showed the long-term efficacy and tolerability of acalabrutinib in patients with chronic lymphocytic leukemia.

The study evaluated venetoclax plus dose-adjusted R-EPOCH in patients with chronic lymphocytic leukemia who developed Richter’s syndrome.























































