|Poll|November 3, 2016
Tibia Lesion Found in 47-Year-Old Man
Author(s)Cesar A. Moran, MD
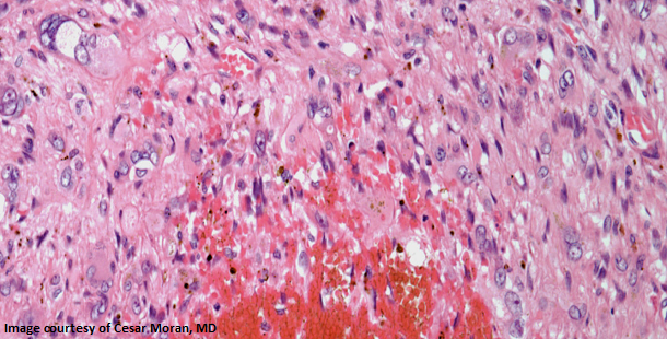
A 47-year-old man presents with a lesion in the right tibia. After further assessment, a biopsy is performed. What is your diagnosis?
Advertisement
A 47-year-old man presents with a lesion in the right tibia. According to the pathology slide image below, what is your diagnosis?
What is your diagnosis?
Newsletter
Stay up to date on recent advances in the multidisciplinary approach to cancer.
Advertisement
Latest CME
Advertisement
Advertisement
Trending on CancerNetwork
1
Finding a “Sweet Spot” for Smoldering Multiple Myeloma Management
2
Mecbotamab Vedotin Shows Positive OS Results in Soft Tissue Sarcoma
3
Imneskibart Yields Activity and Responses in Melanoma, NSCLC Cohorts
4
Sacituzumab Govitecan Misses PFS End Point in Metastatic Breast Cancer
5



















































































