Braulio Martínez-Benitez, MD
Articles by Braulio Martínez-Benitez, MD

Disorders of Sex Development and Malignant Germ Cell Tumors
ByMiguel Araujo-Meléndez, MD,Haydeé Verduzco-Aguirre, MD,Juan J. Morales, MD, MSc,Braulio Martínez-Benitez, MD,Ricardo Castillejos-Molina, MD,Alejandro Fuentes, MD,Mahmoud Salama, MD, PhD,María T. Bourlon, MD, MSc, FASCO Key points:
Patients with disorders of sex development (DSDs) are at an increased risk of malignant germ cell tumors (GCTs).
In adulthood, the partial form of androgen insensitivity syndrome confers the greatest risk of developing malignant GCTs.
Gonadoblastoma is the most common gonadal GCT arising in patients with DSDs. Despite being a benign neoplasm, it can undergo malignant transformation in up to 60% of patients with a DSD.
Oncologic treatment in patients with disorders of sex development and malignant GCTs does not differ from the standard treatment for testicular GCTs.
Treatment of patients with DSDs requires a multidisciplinary team, including a psychiatric, genetic, and reproductive assessment as well as the involvement of an ethics committee.
An early diagnosis of DSDs is crucial to avoid the development of potentially serious complications in adulthood.

Man With Locally Advanced, High-Risk Prostate Cancer Asks About Adding Chemotherapy to His Treatment
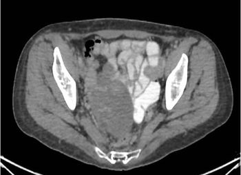
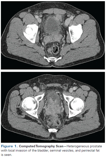
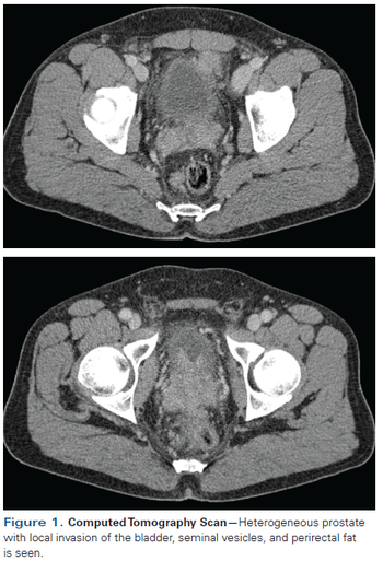
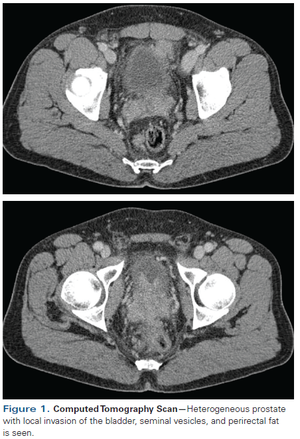
ByMaría T. Bourlon, MD, MSc, FASCO,Mauricio Mora,Juan Hinojosa-Fano,Braulio Martínez-Benitez, MD,Arya Amini, MD,Ricardo Castillejos-Molina, MD,L. Michael Glodé, MD, FACP A 55-year-old Hispanic male presents with a family history of gastric cancer in one sibling and prostate cancer in an older brother. CT performed in March 2015 for IMT surveillance showed a heterogeneous prostate with local invasion involving the bladder, seminal vesicles, and perirectal fat.