Sara Vázquez-Manjarrez, MD
Articles by Sara Vázquez-Manjarrez, MD

Is This Patient With Metastatic Bladder Cancer a Candidate for Second-Line Immunotherapy Treatment?
ByMaría T. Bourlon, MD, MSc, FASCO,Hugo E. Velázquez, MD,Rodrigo Luna-Santiago, MD,Sara Vázquez-Manjarrez, MD,Christianne Bourlon, MD, MHSc A 67-year-old man, a former smoker, presented with gross hematuria. A CT urogram showed a bladder tumor in the anterior wall and multiple enlarged retroperitoneal lymph nodes. Two vertebral metastases were seen on a bone scan. He underwent a transurethral resection of the bladder, and the pathology report revealed muscle-invasive urothelial carcinoma.

A Patient With Newly Diagnosed Metastatic Type 2 Papillary Renal Cell Carcinoma
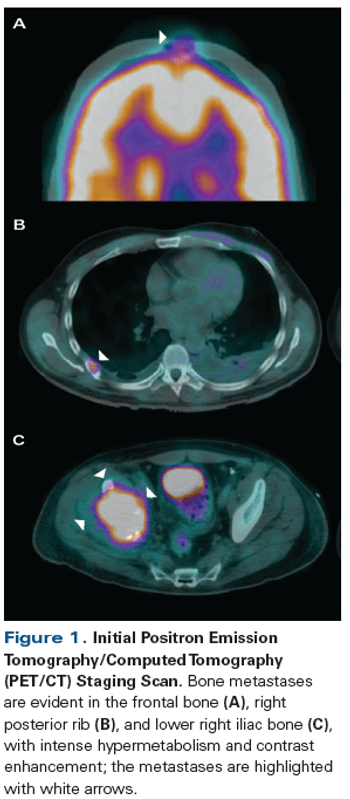
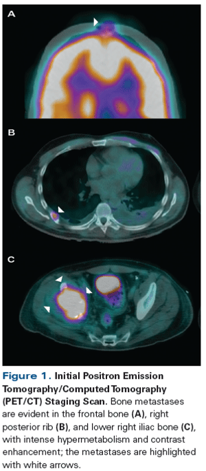
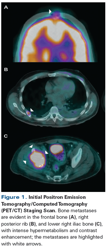
ByMaría T. Bourlon, MD, MSc, FASCO,Monica Meneses-Medina, MD,Sara Vázquez-Manjarrez, MD,Francisco M. Bustamante-Romero, MD,Adriana C. Gallegos-Garza, MD,Elaine T. Lam, MD A 42-year-old man presented with increasing right hip pain that limited his ability to walk. Magnetic resonance imaging (MRI) revealed a right lytic acetabular lesion. Further work-up included a computed tomography (CT) scan, which revealed an 8-cm left kidney tumor.