
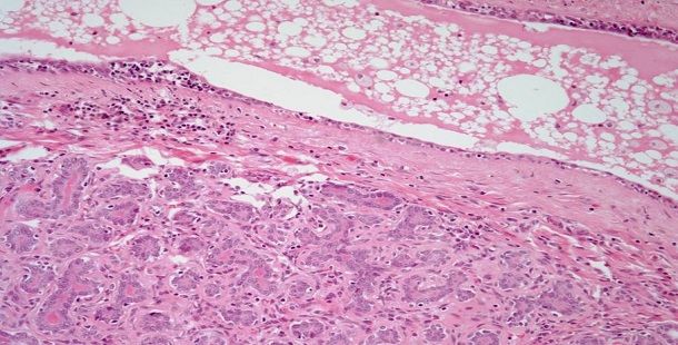
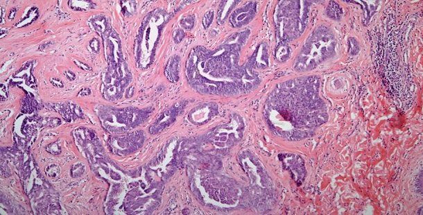
We acknowledge that the “more is better” approach may not always hold true. For example, preclinical data provided a rationale for combining pertuzumab with T-DM1, but recent reports suggest that this strategy may not prove more effective than single-agent T-DM1 therapy in the clinic.

























































































