
A new study suggests that a family history of breast cancer does not result in a worse prognosis breast cancer prognosis.

Your AI-Trained Oncology Knowledge Connection!


A new study suggests that a family history of breast cancer does not result in a worse prognosis breast cancer prognosis.

A Swedish study found that 3D tomosynthesis screening detected 40% more cases of breast cancer compared with traditional digital mammography.

The appearance of bone metastases on FDG PET/CT was influenced by breast cancer histology, with non-FDG-avid lesions more common in invasive lobular carcinoma patients.

The future role of immunotherapy in breast cancer is currently being actively investigated, so we anticipate that we will soon have further clues about the role of immunotherapy in breast cancer patients.

The immune system is active in breast cancer, playing a dual role in tumor progression and in immune surveillance. Infiltrating immune cells are both prognostic and predictive of response to standard breast cancer therapies.

In a mouse model, researchers found that TRAIL-R2 inhibition prevented bone metastases, suggesting a possible therapeutic strategy for breast cancer patients.

A randomized trial failed to show non-inferiority of 6 months of adjuvant trastuzumab compared with the standard 12 months for HER2-positive breast cancer.

A large meta-analysis found that mastectomies that preserve the nipple plus an envelope of breast skin are as safe as surgeries that remove more breast tissue.

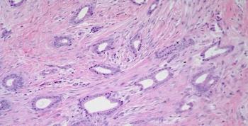
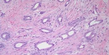
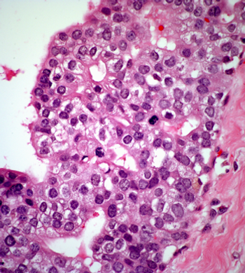
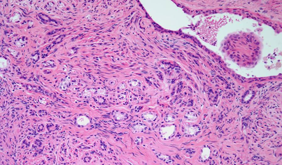
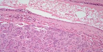
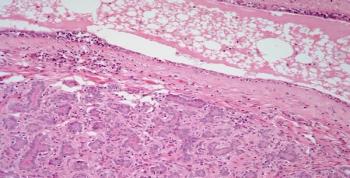
A breast biopsy is performed on a 45-year-old woman with microcalcifications detected from a mammogram. What is your diagnosis?

A multi-gene panel test provides better diagnostic yield compared with a limited BRCA1/2 genetic test for patients at risk for hereditary breast cancer.

MM-302 showed encouraging efficacy results and a manageable safety profile in heavily pretreated HER2-positive metastatic breast cancer patients.

A recent study found that women diagnosed with breast cancer are at increased risk for developing thyroid cancer, prompting the authors to encourage regular screening for the disease in breast cancer survivors.

Pfizer announced that the phase III trial of palbociclib was stopped early after meeting its primary endpoint of improved progression-free survival in women with HR–positive, HER2-negative metastatic breast cancer.

In this interview with ONCOLOGY Editor-in-Chief Nancy Davidson, MD, we dive into the “gray area” of breast biopsies and how the oncology community can meet this challenge. Dr. Davidson, AACR’s president-elect, also discusses the changes she has seen during her career with regard to how cancer patients are treated and looks forward during this optimistic time in treatment and research.

Combination treatment with the PARP inhibitor olaparib plus the PI3K inhibitor BKM120 showed a benefit in subsets of breast cancer and ovarian cancer patients.

In an ongoing study, the immunotherapy MPDL3280A continues to be well-tolerated and to show signs of activity in triple-negative breast cancer patients.

Women who spend less time eating each day and an increased amount of hours fasting overnight had a decreased risk of breast cancer.

No benefit of axillary lymph node evaluation has been shown for women with DCIS, yet this lymph node analysis is still often performed in these patients.

A recent retrospective study elucidates the correlation between breast cancer subtype and metastasis site, time to relapse, and patient survival.

Women with diabetes are at a greater risk of being diagnosed with advanced-stage breast cancer, according to a retrospective study.

A major change in the clinical management of breast cancer, most early-stage patients now have sentinel node dissection as opposed to full lymph node removal.

Women who received cognitive behavioral stress management after surgery for early breast cancer reported better quality of life and lower symptoms of depression.

In this interview we discuss the current guidelines for lymph node staging in breast cancer and dive into the debate surrounding sentinel node biopsies.

Researchers were able to demonstrate response to radiotherapy in breast cancer patients with osteolytic metastases by measuring increases in bone density.

While pathologists usually agree on healthy and malignant breast tissue from biopsy slides, there is less agreement on samples that fall somewhere in the middle.