
Results of a phase II study of a PI3K inhibitor in ER-positive breast cancer showed a trend toward improved progression-free survival.

Your AI-Trained Oncology Knowledge Connection!


Results of a phase II study of a PI3K inhibitor in ER-positive breast cancer showed a trend toward improved progression-free survival.

A study of triple-negative breast cancer patients found that adding bevacizumab to chemo resulted in higher pCR rates in those with basal-like disease.

Early-stage premenopausal ER-positive breast cancer patients who have received chemotherapy benefited from ovarian suppression with tamoxifen or exemestane.

The use of adjuvant capecitabine in elderly patients with moderate- to high-risk early breast cancer resulted in no improvement in disease-free survival.

The level of stromal tumor-infiltrating lymphocytes (Str-TILs) may influence which treatment is the most effective in women with HER2-positive breast cancer.

In this preview of the 2014 San Antonio Breast Cancer Symposium, we take a look at some of the studies to watch for at this year's event.

An increase in exercise led to a significant decrease in the amount of arthralgia reported by breast cancer survivors being treated with aromatase inhibitors.

Researchers are estimating that about 3.6% of new cancer cases in 2012 in adults may be attributed to a high BMI, equating to about 481,000 new cancer cases.

Data from a large study found that about 25% of women who underwent breast conservation surgery for stage 0-II breast cancer had a repeat surgical intervention.

Surgery is not obsolete in the management of breast cancer; it is an essential component for almost all patients in the present treatment paradigm.

The incorporation of molecular subtypes into the locoregional management of breast cancer has lagged behind its use in systemic therapy. Omission or dose-intensification of RT based on subtypes should be investigated in future trials.

This article reviews the current status of local therapy for breast cancer and the likely impact of evolving molecular data on the present paradigm.

In this interview, we are discussing the impact that CDK 4/6 inhibitors are having on specific types of breast cancer.

Children treated for Wilms tumor, a rare kidney cancer, with chest radiation may be at a higher risk for developing breast cancer in adulthood.

In this interview we discuss the link between soy consumption and breast cancer, and the impact of soy supplements on gene expression in early-stage disease.

A 24-year-old woman presents to her primary care provider with a mass in her left breast. Examination confirms a 2.2-cm mass in the upper outer quadrant, with a single mobile axillary node that is firm to palpation.

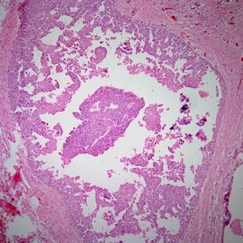
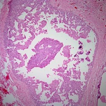
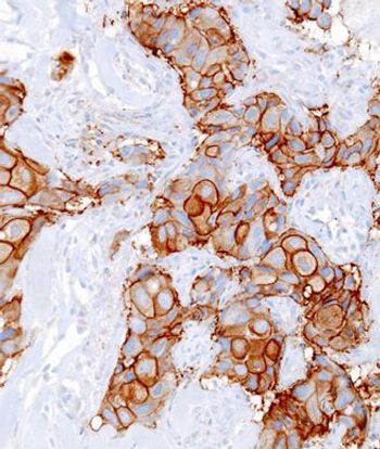
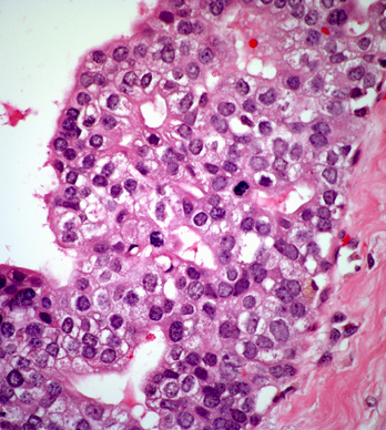
A 42-year-old woman is found to have a left breast nodule. A breast biopsy is performed. What is your diagnosis?

Using a simple questionnaire to assess anxiety in breast cancer patients before surgery may help alleviate patients’ fear and uncertainty, and improve outcomes.

Individualized counseling should begin before surgery and continue throughout treatment for breast cancer survivors fearful of developing lymphedema, says a new study.

Breast Cancer Awareness Month is a magical time that brings out the child in each of us. You can keep your Santa Claus and your Tooth Fairy, I believe in the warm and fuzzy feeling of breast cancer awareness.

Data from the CLEOPATRA trial show that pertuzumab adds nearly 16 months to median survival times when used with trastuzumab and chemo in HER2-positive breast cancer, according to final results presented at the ESMO 2014 Congress.

A large study bolsters the evidence that black women who breastfeed have a lower risk of being diagnosed with ER- and triple-negative breast cancer.

HER2-positive breast cancer patients treated with targeted therapy and chemo were less likely to have a pathologic complete response if they had a PIK3CA mutation.

Postpartum breast cancer represents a high-risk, under-recognized subset of young women’s breast cancer. The lack of clear identity for postpartum breast cancer is due in part to both the “dual effect” that pregnancy has on the incidence of breast cancer diagnosis.

Cognitive dysfunction during and following treatment for cancer, often referred to as “chemobrain,” is an adverse effect of cancer treatment that may interfere with patients’ ability to resume their precancer lifestyle, with subsequently reduced quality of life.