
As part of our coverage of the annual ASCO conference, we spoke with Dr. Veronika Bachanova on the role of NK cell therapy in hematologic malignancies.

Your AI-Trained Oncology Knowledge Connection!


As part of our coverage of the annual ASCO conference, we spoke with Dr. Veronika Bachanova on the role of NK cell therapy in hematologic malignancies.

In this video, Antonio Palumbo, MD, discusses results of the CASTOR trial, which studied daratumumab, bortezomib, and dexamethasone in relapsed or refractory multiple myeloma.

A three-drug regimen that includes daratumumab, bortezomib, and dexamethasone may be the new standard of care for patients with relapsed or refractory multiple myeloma.

Maintenance lenalidomide after autologous stem cell transplantation significantly prolonged survival in patients with multiple myeloma, according to results of a meta-analysis.

A study testing the all oral combination of ixazomib, cyclophosphamide, and dexamethasone showed that patients with newly diagnosed multiple myeloma responded well to the experimental treatment regimen.

Researchers at Weill Cornell Medicine recently published a study in Nature Communications explaining that the rate at which genetically mutated cancer cells grow may help explain why some CLL patients develop treatment resistance.

A 5-year analysis of the DASISION trial showed that dasatinib continued to offer better responses than imatinib in patients with chronic myeloid leukemia.

The US Food and Drug Administration (FDA) granted accelerated approval of nivolumab (Opdivo) based on overall response rate (ORR) in classical Hodgkin lymphoma patients.

A phase II study of the BCL2 inhibitor venetoclax has shown that a large majority of patients with relapsed or refractory chronic lymphocytic leukemia responded to treatment with the drug.

In this article, we elucidate the rationale for use of novel drug combinations in patients with myeloma, and review current evidence-based data supporting the use of specific combinations in various settings. We also attempt to craft a framework to guide clinicians in optimizing the use of combination therapies, to enable patients to derive maximal benefit.

In the past, multiple myeloma was a disease with grim prospects for survival, and few therapeutic options. Today we have a multitude of options, and the armamentarium will continue to expand.

A new study has found an association between body mass index and the risk for multiple myeloma among African Americans in the United States.

The early 21st century has brought with it significant improvements in survival from most common hematologic malignancies for patients aged 65 years or older, but these increases still lag behind those of 50- to 59-year-olds.

Some patients with mantle cell lymphoma may safely defer treatment for their disease, and, in fact, deferral of therapy was an independent predictor of overall survival.

Independent of already known roles in impaired DNA repair, mutations in the Fanconi anemia pathway also disrupt cells’ antiviral immunity and removal of damaged mitochondria, resulting in an accumulation of mitochondrial reactive oxygen species.

Chronic myeloid leukemia patients had a significantly increased prevalence of prior malignancies and autoimmune disorders compared with the general population.

Researchers in Seattle are reporting success with an experimental therapy that modifies T cells to express a CD19-specific chimeric antigen receptor (CAR) to treat B-cell malignancies.

The addition of pegylated interferon-ɑ2b to dasatinib yielded promising results in a small trial of newly diagnosed chronic myeloid leukemia patients.

Genentech and Astex Pharmaceuticals will collaborate in a clinical trial of a combination hypomethylating and immune checkpoint blockade therapy for patients with acute myeloid leukemia.

Adding ixazomib to the combination of lenalidomide/dexamethasone resulted in a more than 35% improvement in the risk for disease progression or death in patients with relapsed or refractory multiple myeloma.

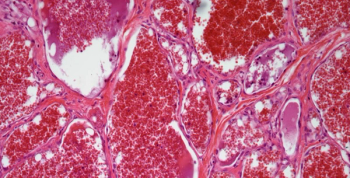
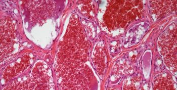
Patients with primary plasma cell leukemia experienced high rates of response and improved progression-free survival when treated with bortezomib, dexamethasone plus doxorubicin or cyclophosphamide followed by transplantation.

A 37-year old man presents with a bluish lesion in the right arm. After further assessment, a biopsy is performed. What is your diagnosis?

The efficacy of ponatinib in patients with newly diagnosed CML compared with imatinib remains to be established, as a randomized phase III trial was terminated early due to concerns regarding arterial occlusive events with ponatinib.

Risk-stratification based on a biomarker and associated prophylaxis could help reduce the incidence of graft-vs-host disease in patients undergoing haploidentical transplantation.

We review here the state of the art of diagnosis and treatment of AML and provide insights into the emerging novel biomarkers and therapeutic agents that are anticipated to be useful for the implementation of personalized medicine in AML.