
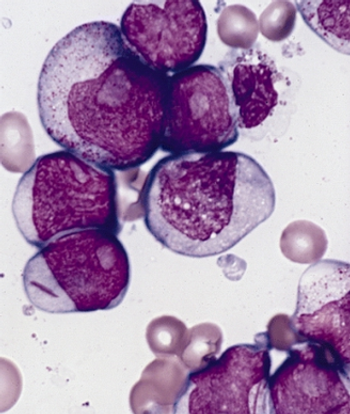
In this interview, researchers discuss their analysis of a specific type of acute myeloid leukemia.

Your AI-Trained Oncology Knowledge Connection!


In this interview, researchers discuss their analysis of a specific type of acute myeloid leukemia.

Anti-diabetic drugs could help eradicate leukemic stem cells in chronic myeloid leukemia (CML) patients, according to a new study.

Nonbiological factors such as insurance and marital status and county-level income were found to independently affect the survival of younger patients with AML.

Treatment with a short course of vemurafenib was effective and rapid in patients with relapsed or refractory hairy-cell leukemia, resulting in overall response rates of over 95%.

A new laboratory study shows that inhibiting the uptake of certain dipeptides could represent a novel therapeutic approach to inhibiting chronic myeloid leukemia proliferation.

Risk for leukemia was significantly lower among children in Taiwan who were infected with the enterovirus compared with children who were not infected.

Combined treatment with lenalidomide/rituximab resulted in better clinical response in patients with recurrent follicular lymphoma than did lenalidomide alone.

A complex high-dose combination therapy is tolerable and effective in patients with aggressive B-cell lymphoma that has spread to the central nervous system.

Researchers combined clinical risk factors with mutation status from seven genes to improve prognostication for patients with follicular lymphoma.

Our standard therapies for peripheral T-cell lymphoma may cure a subset of patients, and thus far novel agents have not changed the outcomes for the majority.

This article evaluates the most up-to-date peer-reviewed published work on the treatment of peripheral T-cell lymphoma, and offers a glimpse into the current upfront clinical trial landscape for patients affected by this uncommon disease.

A 45-year-old man with a known history of rheumatic fever and aortic valve replacement 15 years earlier presented with the chief complaint of a 1-month history of progressive, intense, nonmechanical lumbar pain.

Using a gene expression-based assay on formalin-fixed paraffin-embedded tissue, researchers were able to identify groups among DLBCL patients with significantly different outcomes from R-CHOP treatment.

Ponatinib yielded complete cytogenetic responses in most patients with newly diagnosed chronic-phase CML, but the risk of vascular events suggests other agents should first be considered.

While the risk of a new treatment-related cancer diagnosis after childhood is known, a new study now shows that this risk remains into the fifth and sixth decade of life.

Adding vosaroxin to cytarabine resulted in no significant improvement in overall survival in patients with relapsed or refractory acute myeloid leukemia, but the trial did suggest that vosaroxin could be an option for salvage therapy in patients aged 60 and older.

Treatment of CML with various tyrosine kinase inhibitors can induce changes in glomerular filtration rate over time and have other kidney-related effects.

Long-term follow-up of a phase II study shows that nilotinib is highly effective in treating chronic phase CML as a first-line therapy, though with relatively common cardiovascular toxicity associated with treatment.

Lymphoma survivors who underwent autologous HSCT may be at greater long-term risk for heart failure and left ventricular systolic dysfunction than previously thought.

Patients with CML undergoing treatment with dasatinib had a narrower spectrum of mutations in BCR-ABL1 compared to those treated with imatinib.

Advanced Hodgkin lymphoma patients who discontinue their treatment with bleomycin and vincristine as part of a BEACOPP regimen did not experience an effect on survival.

Results of a large trial have indicated that the use of interim PET/CT imaging has limited prognostic value to DLBCL patients being treated with R-CHOP-14.

Several lymphoma subtypes may present with isolated splenomegaly. Establishing a correct histologic diagnosis is critical, since patient management is largely determined by histology.

Incorporation of PD-1 blockade into the treatment algorithms for hematologic malignancies is currently being pursued in multiple active clinical trials. Here we review the data on anti–PD-1 monoclonal antibodies to date and discuss ongoing and future clinical trials.

While the results of the multitude of ongoing PD-1 blockade trials are eagerly awaited, it is clear that research involving the immunotherapy of blood cancers is moving swiftly through this first “checkpoint” at breakneck speed. It is sure to be a fascinating ride.