
|Poll|March 1, 2018
11-Year-Old Child With Lesion in the Mandible
Author(s)Cesar A. Moran, MD
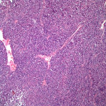
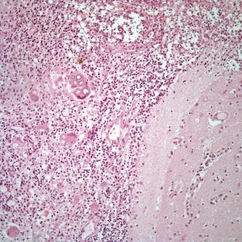
An 11-year-old child presents with a lesion in the mandible, and a biopsy is obtained. What is your diagnosis?
Advertisement
An 11-year-old child presents with a lesion in the mandible, and a biopsy is obtained.
Based on the image shown, what is your diagnosis?
Newsletter
Stay up to date on recent advances in the multidisciplinary approach to cancer.
Advertisement
Advertisement
Advertisement
Trending on CancerNetwork
1
Lu 177 Plus Immunotherapy Displays Responses in Prostate Cancer
2
FDA Approves Subcutaneous Mosunetuzumab in R/R Follicular Lymphoma
3
Daratumumab Combo Yields Significantly Higher MRD Negativity in Multiple Myeloma
4
Zanubrutinib Therapies Yield Durable Results in High-Risk, Treatment-Naïve CLL/SLL
5





















































































