
In this video, Dung T. Le, MD, discusses a phase II study that found that mismatch repair–deficient colorectal tumors were highly responsive to checkpoint blockade with the anti–PD-1 drug pembrolizumab.

Your AI-Trained Oncology Knowledge Connection!


In this video, Dung T. Le, MD, discusses a phase II study that found that mismatch repair–deficient colorectal tumors were highly responsive to checkpoint blockade with the anti–PD-1 drug pembrolizumab.

As part of our 2015 ASCO Annual Meeting coverage, we discussed immunotherapy combinations in advanced melanoma patients with Michael A. Postow, MD.

Updated results from the coBRIM trial show that a BRAF/MEK inhibitor combination continues to provide clinical benefit in BRAF-positive metastatic melanoma.

The platinum compound nedaplatin in combination with docetaxel improved outcomes over cisplatin and docetaxel in advanced squamous cell carcinoma of the lung.

Treating advanced sarcoma with the chemotherapy agent eribulin improves overall survival compared with treatment with standard therapy with dacarbazine.

In this video we discuss the results of the PALOMA3 trial, which tested fulvestrant and palbociclib in metastatic, hormone receptor–positive HER2-negative breast cancer.

In this video we discuss the results of the NSABP B-35 trial of anastrozole vs tamoxifen in postmenopausal women with DCIS who had undergone lumpectomy plus radiation therapy.

This video examines a phase III trial of ibrutinib in combination with bendamustine and rituximab in patients with previously treated chronic lymphocytic leukemia/small lymphocytic lymphoma.

This video examines a phase III study that tested the addition of docetaxel and prednisone to standard therapy as adjuvant treatment for men with high-risk localized prostate cancer.

An inhibitor of FLT3 known as ASP2215 showed good clinical activity in FLT3-mutated patients with relapsed or refractory acute myeloid leukemia (AML).

Researchers have discovered that people carrying activating killer-cell immunoglobulin-like receptor (KIR) genes, which are expressed in natural killer cells (NK cells), may experience a protective benefit.

An analysis of more than 34,000 5-year survivors of childhood cancer treated over 3 decades finds that modern treatments have reduced long-term mortality rates.

Elective neck lymph node surgery for patients with early oral cancer reduces the risk of cancer recurrence and improves survival.

Pembrolizumab demonstrated a 24.8% overall response rate in patients with recurrent or metastatic squamous cell carcinoma of the head and neck.

Data from the LUX-Lung 8 trial showed afatinib outperformed erlotinib with regard to both progression-free and overall survival in squamous cell lung cancer.

A new agent, AZD9291, showed promising clinical activity and progression-free survival in a study of patients with advanced stage, EGFR mutation-positive NSCLC.

The anti–PD-1 antibody nivolumab alone or in combination with ipilimumab increased progression-free survival in treatment-naïve metastatic melanoma patients.

Tumor growth rate analysis may be a valuable efficacy parameter to consider in patients with sorafenib-treated, radioiodine-refractory differentiated thyroid cancer.

Due to the genetic heterogeneity observed in tumors of melanoma patients who developed resistance to BRAF inhibitors, assessing mechanisms of resistance has minimal potential to inform further treatment decisions.

Data from the KEYNOTE-001 study showed that the anti–PD-1 antibody pembrolizumab produces durable responses in metastatic melanoma patients.

Performing a complete lymph node dissection does not improve survival for melanoma patients who underwent a sentinel node biopsy.

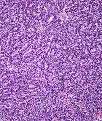
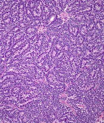
Results from a phase I/II study suggest that the immunotherapy nivolumab is safe and effective in advanced hepatocellular carcinoma (HCC).

Jennifer Ligibel, MD, discusses the link between obesity and cancer as part of ASCO's obesity initiative ahead of this year's ASCO Annual Meeting.

New data suggests that an experimental targeted therapy known as IMMU-130 may be effective in controlling drug-resistant metastatic colorectal cancer (mCRC) in patients previously treated with irinotecan-containing chemotherapy regimens.

In this podcast ahead of the 2015 ASCO Annual Meeting, we discuss CT screening for individuals with a high risk for lung cancer with Claudia I. Henschke, MD, PhD.

MEDI4736 appears to have an acceptable safety profile and durable clinical activity, according to a new dose-escalation study.

According to the AREN0532 and AREN0533 trials, adding additional drugs to a therapy regimen for Wilms tumor in children with high-risk disease improved outcomes.

Nicotinamide, a form of vitamin B3, reduced the incidence of non-melanoma skin cancers among a group of high-risk patients, according to the ONTRAC study.

The addition of elotuzumab to lenalidomide and dexamethasone improved progression-free survival and overall response rate in relapsed multiple myeloma patients.
