
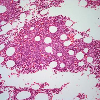
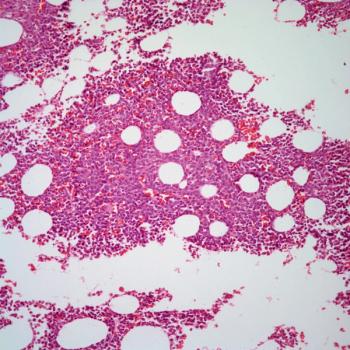
Luspatercept, the use of which is supported by results from the phase 3 COMMANDS trial presented at 2023 ASCO, is now available for patients with low-risk myelodysplastic syndrome and anemia.

Your AI-Trained Oncology Knowledge Connection!


Luspatercept, the use of which is supported by results from the phase 3 COMMANDS trial presented at 2023 ASCO, is now available for patients with low-risk myelodysplastic syndrome and anemia.

Luspatercept, which is now FDA approved for myelodysplastic syndromes, may help patients achieve transfusion independence.

Findings from an exploratory subgroup analysis in the phase 3 INNOVATE-3 trial suggest that Tumor Treating Fields plus paclitaxel may confer a survival benefit in patients who received only 1 prior line of therapy for platinum-resistant ovarian cancer.

Updated findings from the phase 3 TROPiCS-02 trial support sacituzumab govitecan as a standard treatment for hormone receptor–positive, HER2-negative breast cancer, according to Sara Tolaney, MD, MPH.

The safety profile of cabozantinib as a treatment for patients with advanced pancreatic neuroendocrine tumors in the phase 3 CABINET trial is comparable with previous reports of the agent.

Findings from the phase 1/2 MajesTEC-1 study support the European Commission’s approval of teclistamab at a reduced dose frequency for patients with relapsed/refractory multiple myeloma.

Investigators of a prospective study of 1253 patients find that outcomes with the experimental homoharringtonine-based regimen either meet or exceed those with a classic etoposide-based regimen.

When combined with brain stereotactic radiosurgery, trastuzumab emtansine appears to produce minimal acute skin effects among patients with non-metastatic breast cancer.

At an Around the Practice, experts from Emory University gathered to discuss treatment options for patients with multiple myeloma who are transplant-eligible or ineligible.

Patients with complete lymph node response, partial lymph node response, or negative lymph node response were less likely to experience recurrence and increased survival in esophageal adenocarcinoma.

Patients who are already enrolled on clinical trials assessing magrolimab in acute myeloid leukemia are eligible to continue treatment with the agent.

Data from the phase 3 PAPILLON trial support the supplemental biologics license application for amivantamab plus chemotherapy as a treatment for EGFR exon 20 insertion mutation–positive non–small cell lung cancer.

Positive data from a prespecified interim efficacy analysis of the phase 3 LIBRETTO-531 trial support selpercatinib as a potential treatment in advanced, RET-mutant medullary thyroid cancer.

Data indicate that replacement of vincristine with polatuzumab vedotin in combination with etoposide, prednisone, cyclophosphamide, doxorubicin, and rituximab should be further explored in large B-cell lymphoma.

Investigators will assess the safety and pharmacodynamics of ALE.C04 in patients with CLDN1-positive head and neck squamous cell carcinoma as part of a phase 1/2 clinical trial.

Findings from a real-world study highlight that treatment utilization, such as agents for managing tumor lysis syndrome, appears to be more intense when older patients with chronic lymphocytic leukemia initiate treatment with venetoclax plus obinutuzumab.

Data from the phase 3 CheckMate-76k trial support the European Commission’s approval of nivolumab as an adjuvant treatment for patients with resected stage IIB or IIC melanoma.

Data from the phase 1 ELM-1 trial and phase 2 ELM-2 trial support the marketing authorization application for odronextamab in relapsed/refractory follicular lymphoma and diffuse large B-cell lymphoma.

Kirollos Hanna, PharmD, BCPS, BCOP, FACCC, believes that national legislation can help to resolve the United States’ current dearth of cisplatin, as well as prevent future problems.

The primary end point of progression-free survival was met in the phase 3 LITESPARK-005 trial investigating belzutifan vs everolimus in patients with renal cell carcinoma.

Data from a next-generation sequencing analysis indicate that XPO1 may be a novel biomarker predictive of a decreased time to first treatment in patients with early-stage chronic lymphocytic leukemia.

The FDA sets a Prescription Drug User Fee Act date in the fourth quarter of 2023 for its decision regarding enzalutamide as a treatment for those with non-metastatic hormone-sensitive prostate cancer with a high-risk of biochemical recurrence.

Experts in the field of multiple myeloma highlight key takeaways for clinicans to be aware of for infections associated with bispecific antibody multiple myeloma treatments.

Using an AUC of 5 instead of an AUC of 6 can help to conserve cisplatin among patients with cancer, Kirollos Hanna, PharmD, BCPS, BCOP, FACCC says.

Findings from the phase 2/3 IMerge trial support the new drug application for imetelstat in the treatment of patients with transfusion-dependent anemia in lower-risk myelodysplastic syndrome.

The investigational drug MAb-AR20.5 is the first monoclonal antibody targeting MUC1 to receive orphan drug designation from the FDA as a treatment for pancreatic cancer.

Naval G. Daver, MD, reviewed current treatment options in acute myeloid leukemia, specifically the use of menin inhibitors in the space.

Olaparib plus temozolomide appears to prolong median progression-free survival for those with homologous recombination deficient uterine leiomyosarcoma compared with homologous recombination proficient tumors.

Avyakta Kallam, MBBS, gave a look as to why she decided to compile a comprehensive review in mantle cell lymphoma.

Combination treatment with cabozantinib and atezolizumab did not produce any new safety signals in the treatment of those with metastatic castration-resistant prostate cancer in the phase 3 CONTACT-02 trial.