
Polls


A 56-year-old man presents with an intranasal mass. What is your diagnosis?

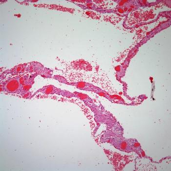
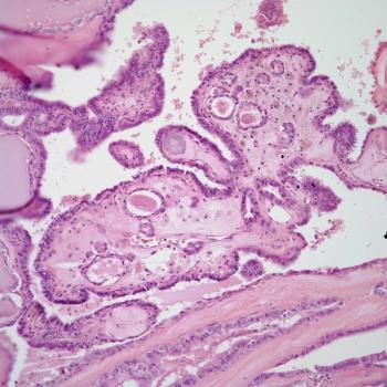
A 35-year-old woman presents with symptoms of dyspnea. Chest films detects the presence of an anterior mediastinal cystic mass. What is your diagnosis?

A 23-year-old young man presents with pain in his left calf. A physical examination detects a mass in the calf area. What is your diagnosis?

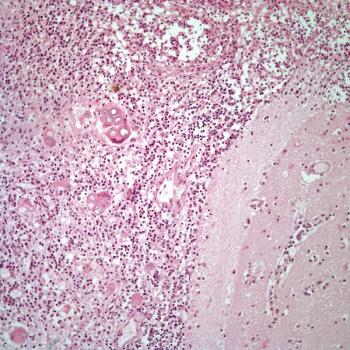
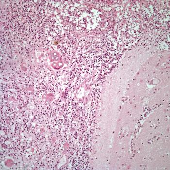
A 53-year-old man presents with a headache and general malaise. Diagnostic imaging identifies a mass in the brain. What is your diagnosis?

A 22-year-old Caucasian woman presents with a four month history of pain, tenderness and swelling in her right breast. What's your diagnosis?

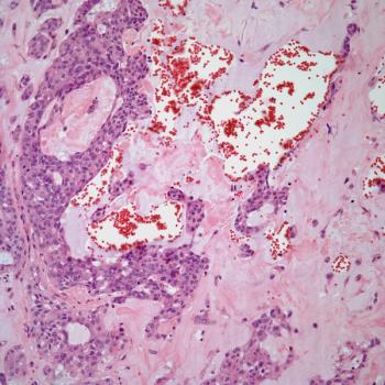
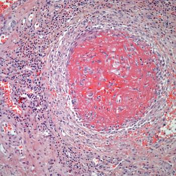
A 51-year-old man noticed abdominal swelling and distention with intermittent abdominal pain, early satiety, and decreased appetite over the past several months. A computed tomography scan of the abdomen is performed. What's your diagnosis?

A 41-year-old woman presents with a palpable mass in her left breast. A lumpectomy is performed. What is your diagnosis?

A 53-year-old man comes in with a cough, chest pain, and dyspnea that he’s had for several weeks. Radiographic imaging of the chest reveals a mass lesion in the right lower lobe. What's your diagnosis?

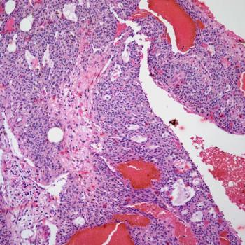
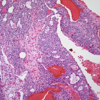
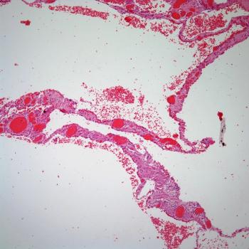
A 23-year-old man, with no history of malignancy, presents with a soft tissue mass in the left side of the abdomen. What's your diagnosis?

A 48-year-old man presents with a soft tissue tumor in the right side of his chest. The patient has a history of several bone fractures in the past. What is your diagnosis?

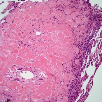
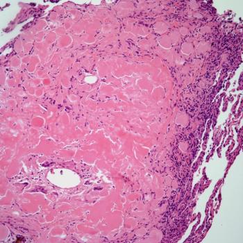
A 38-year-old woman presents with dyspnea and general malaise. Diagnostic imaging revealed the presence of multiple bilateral cystic and nodular lesions in her lung. What is your diagnosis?


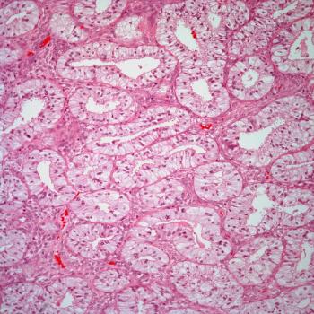
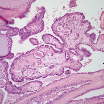
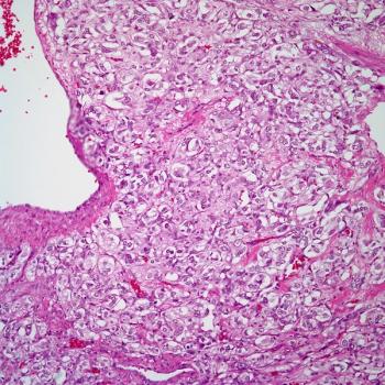
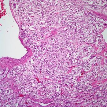
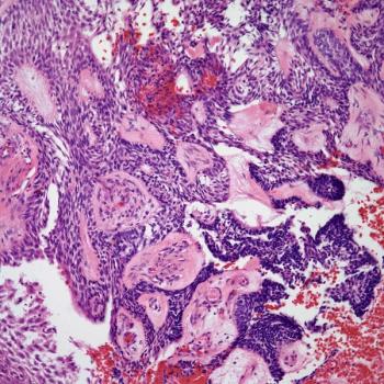
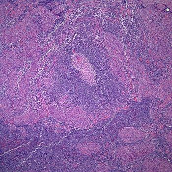
A 37-year-old woman presents with vaginal bleeding. An endometrial biopsy is obtained. What is your diagnosis?

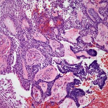
A 43-year-old man presents with nasal bleeding and obstruction. An intranasal mass is found and a biopsy is taken. What is your diagnosis?

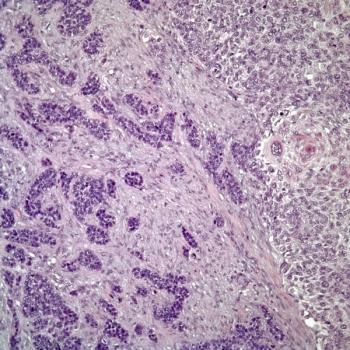
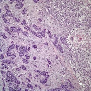
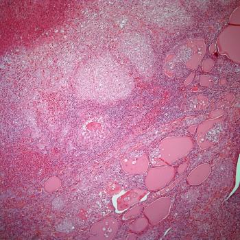
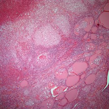
A 42-year-old man notes feeling a lump in the anterior part of his neck. Imaging detects a mass in the thyroid gland. What is your diagnosis?

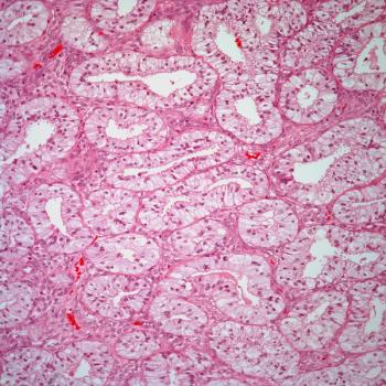
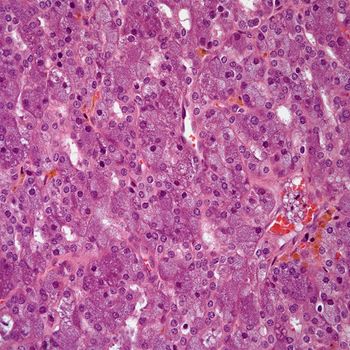
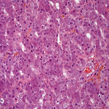
A 54-year-old woman presents with nausea, vomiting, and flushing. Imaging shows a mass in the right adrenal gland. What is your diagnosis?

A 48-year-old man presents with pain in his right maxilla, and imaging demonstrates a mass. What is your diagnosis?

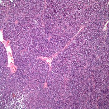
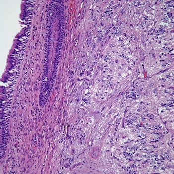
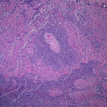
A 43-year-old woman presents with pain in the right side of her neck. A mass is found on physical examination. What is your diagnosis?

A 48-year-old man presents with dyspnea and cough. Imaging shows an anterior mediastinal mass, and resection of the mass is performed. What is your diagnosis?
