.jpg?w=350&fit=crop&auto=format)
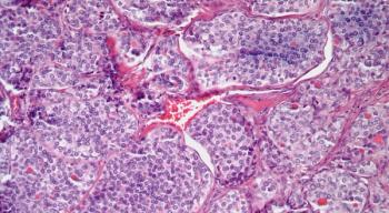
A breast mass is found in a 46-year-old woman, and a biopsy is obtained. What is your diagnosis?

Your AI-Trained Oncology Knowledge Connection!

.jpg?w=350&fit=crop&auto=format)
A breast mass is found in a 46-year-old woman, and a biopsy is obtained. What is your diagnosis?

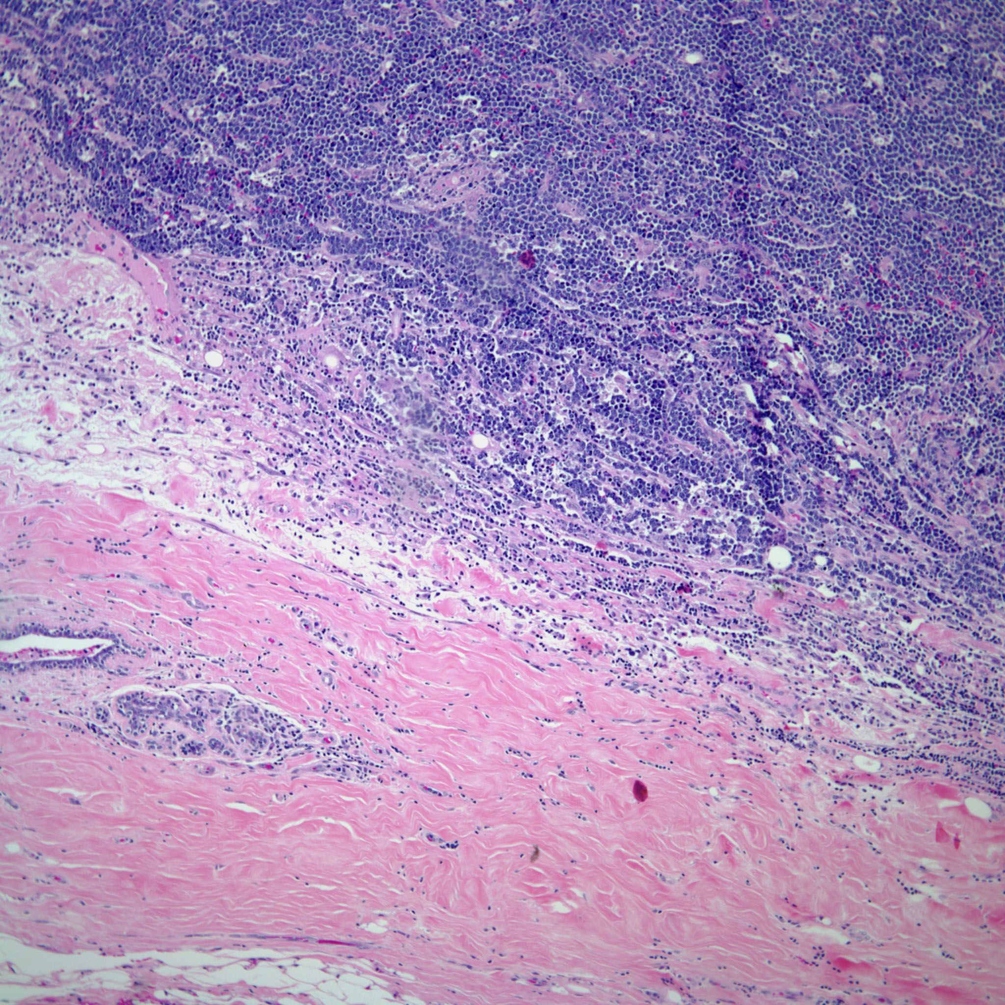
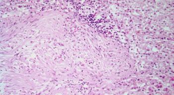
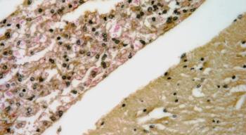
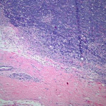
An 11-year-old child presents with a lesion in the mandible, and a biopsy is obtained. What is your diagnosis?
.jpg?w=350&fit=crop&auto=format)
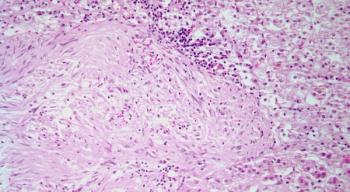
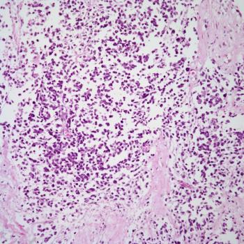
A 53-year-old man presents with a nasal mass, and a biopsy is obtained. What is your diagnosis?

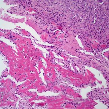
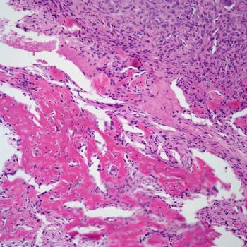
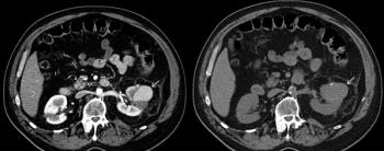
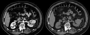
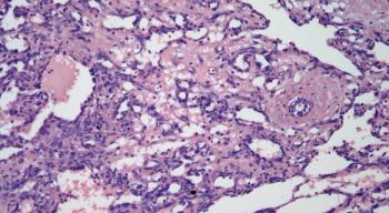
A 45-year-old female presents with gross hematuria 5 days after a laparoscopic partial nephrectomy for renal cell cancer. What is your diagnosis?

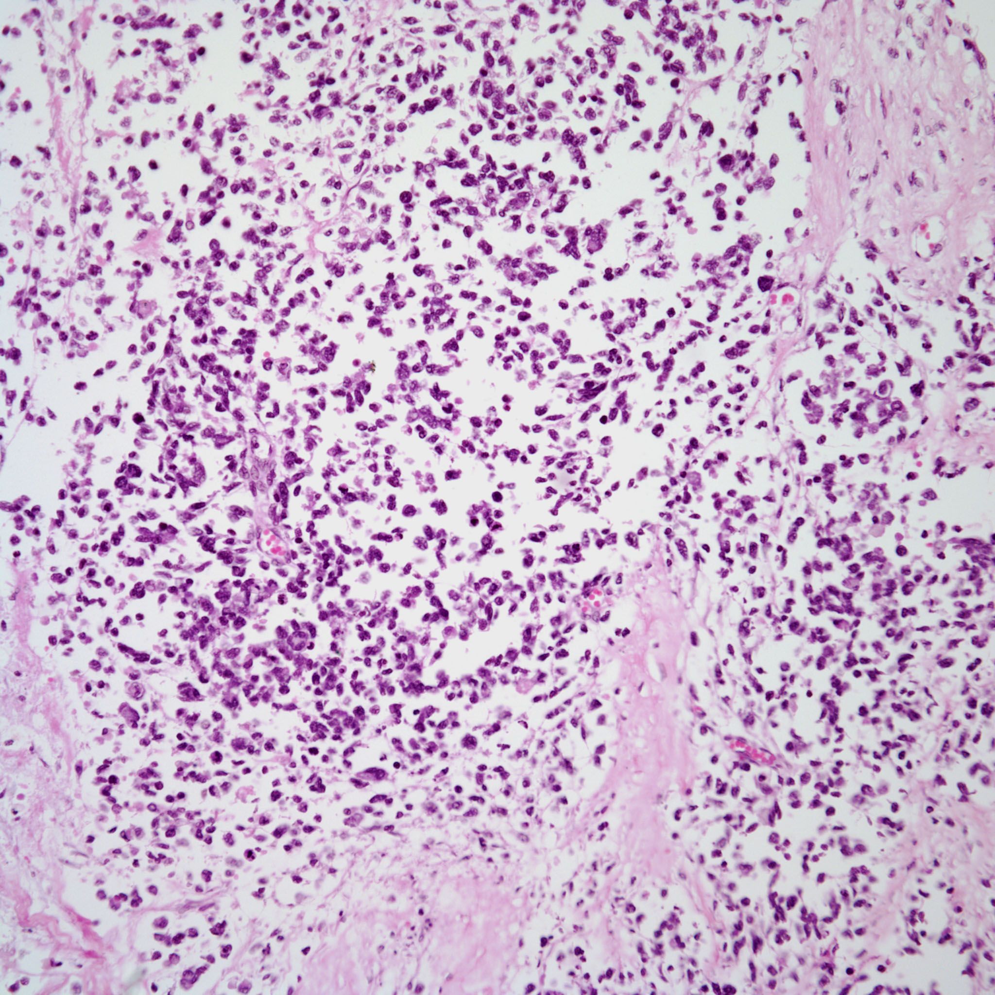
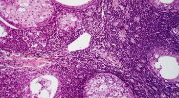
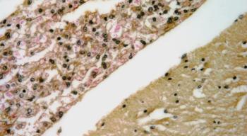
A 42-year-old woman presents with a lesion in the parotid gland, and a biopsy is obtained. What is your diagnosis?

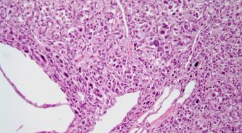
A 37-year-old man presents with a neck mass, and a biopsy is obtained. What is your diagnosis?

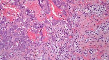
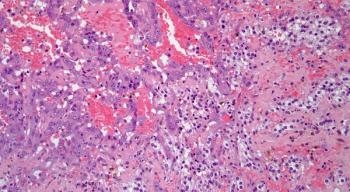
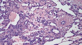
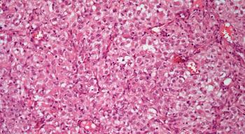
A 52-year-old man presents with a mass in his right adrenal gland, and a biopsy is performed. What is your diagnosis?

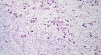
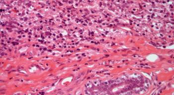
A 58-year-old man presents with severe headaches, and a biopsy is obtained. What is your diagnosis?

A 46-year-old man presents with a thyroid mass, and a biopsy is obtained. What is your diagnosis?

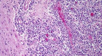
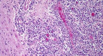
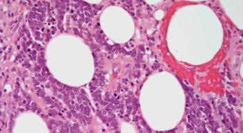
A 47-year-old woman presents with a nodule of the right adrenal gland, and a biopsy is obtained. What is your diagnosis?

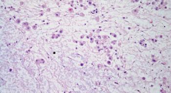
A 35-year-old man presents with severe headaches, and a biopsy is obtained. What is your diagnosis?

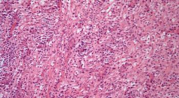
A 63-year-old man presents with pleural thickening, and a biopsy is performed. What is your diagnosis?

A 47-year-old woman develops a mass in her left breast, and a biopsy is performed. What is your diagnosis?

A 43-year-old woman develops a mass in her right breast, and a biopsy is obtained. What is your diagnosis?

A 53-year old woman presents with multiple peritoneal nodules, and a biopsy is obtained. What is your diagnosis?

A 47-year-old woman develops a nodule in her right breast, and a biopsy is performed. What is your diagnosis?

A 38-year-old woman presents with abdominal pain, and a biopsy is performed. What is your diagnosis?

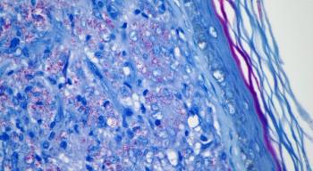
A 27-year-old immigrant from Africa presents with a hypopigmented arm lesion, and a biopsy is obtained. What is your diagnosis?

A 52-year-old woman develops a mass in her left breast, and a biopsy is performed. What is your diagnosis?

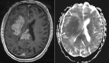
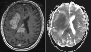
A 74-year-old man with a medical history of hypertension, hyperlipidemia, and type 2 diabetes mellitus was found lying on the ground by his family and was brought to the emergency department, where he was found to have left facial drooping and weakness. What is the most likely diagnosis?