
Learn about what motivational pharmacology is and is not in this quiz.

Your AI-Trained Oncology Knowledge Connection!


A 14-year-old girl presents with a soft-tissue mass at the level of the cauda equina. Based on the image shown, what is your diagnosis?

A 41-year-old woman with a past medical history notable for HIV underwent her first screening mammogram, which demonstrated a 1.5-cm irregular focal asymmetry in the left breast. What is your diagnosis?

A 57-year-old woman with metastatic HER2/neu-positive breast cancer started treatment with a combination of docetaxel, pertuzumab, and trastuzumab. On the fourth cycle the patient complained of mild irritation and a skin rash on her left upper extremity. What is your diagnosis?

A 43-year-old woman presents with a tumor in the uterus, and a biopsy is obtained. What is your diagnosis?

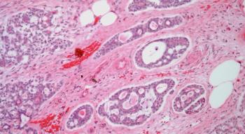
A 38-year-old woman develops a mass in her right breast, and a biopsy is obtained. What is your diagnosis?

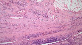
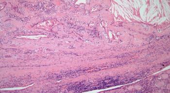
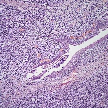
A 56-year-old woman presents with a skin mass on her right leg, and a biopsy is obtained. What is your diagnosis?

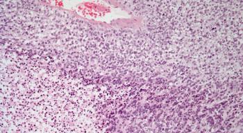
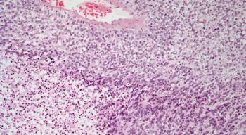
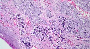
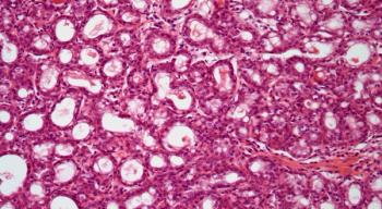
A 43-year-old man presents with a thyroid nodule, and a biopsy is performed. What is your diagnosis?

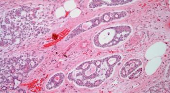
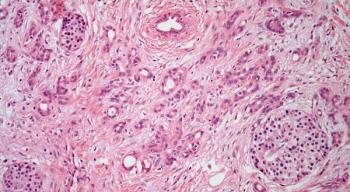
A 32-year-old woman, who had recently delivered a baby, develops a nodule in her left breast. A biopsy is obtained. What is your diagnosis?

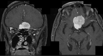
A 71-year-old woman with a past medical history of rectal cancer presents with complaints of her “eyes not working.” Physical exam is notable for incongruent bitemporal visual field defects. An MRI of the brain with gadolinium contrast was obtained. What is the diagnosis?


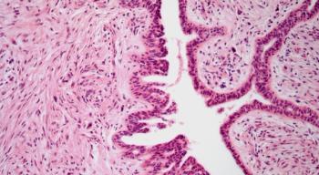
A 52-year-old woman presents with a polypoid endometrial tumor. What is your diagnosis?

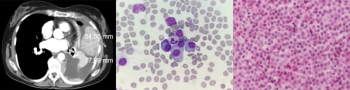
A 70-year-old woman with no history of smoking or asbestos exposure presented with dyspnea on exertion, nonproductive cough, left-sided pleuritic chest pain, and fatigue. Chest radiography revealed a large left pleural effusion and a mass in the left lower lobe. What is the diagnosis?

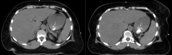
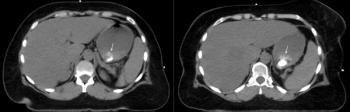
A 57-year-old woman with a history of stage IIB breast cancer (ypT2N1M0) status post neoadjuvant chemotherapy and left partial mastectomy presents to the radiation oncology clinic for CT simulation in preparation for breast radiotherapy. Noncontrast CT scan incidentally found the abnormality depicted with arrows below. What is your diagnosis?

A 39-year-old man presents with a mass in the right upper arm. What is your diagnosis?

A 49-year-old woman develops a mass in her right breast, and a biopsy is obtained. What is your diagnosis?

A 25-year-old woman presents with a mass in her right ovary. What is your diagnosis?

A 12-year-old girl presents with a vaginal mass, and a biopsy is obtained. What is your diagnosis?

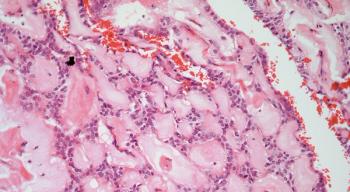
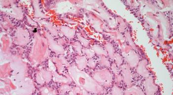
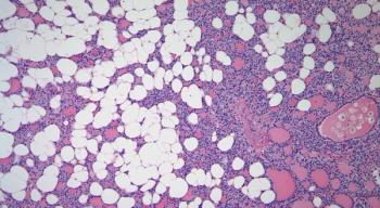
A 63-year-old man presents with a mass in the right kidney. What is your diagnosis?