
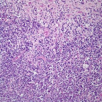
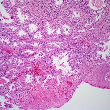
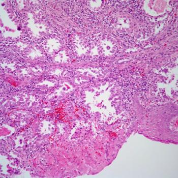
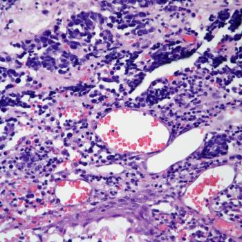
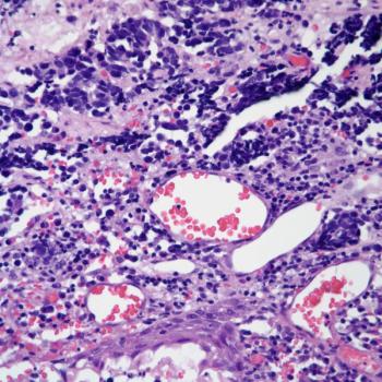
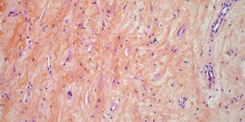
A 54-year-old man presents with a lesion in the brain, and a biopsy is performed. What is your diagnosis?

Your AI-Trained Oncology Knowledge Connection!


A 54-year-old man presents with a lesion in the brain, and a biopsy is performed. What is your diagnosis?
.PNG?w=350&fit=crop&auto=format)
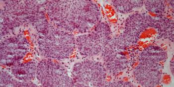
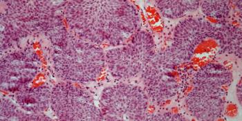
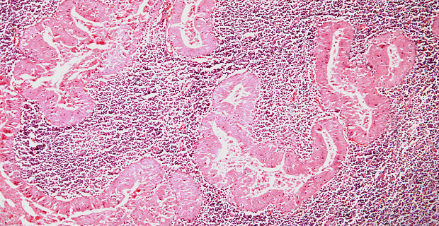
A 43-year-old woman presents with a mass in the brain. What is your diagnosis?

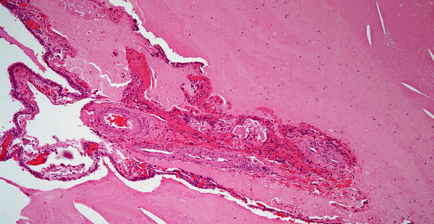
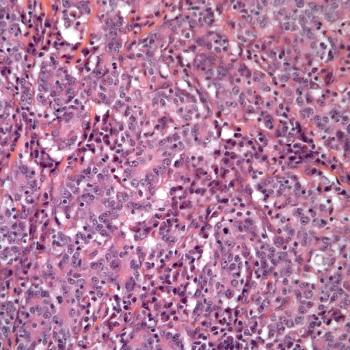
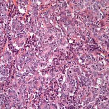
A 43-year-old man presents with a nodule in the right upper chest wall area. After a biopsy is performed, what is your diagnosis?

A 54-year-old woman presents with a mass in the vagina, and a biopsy is performed. What is your diagnosis?

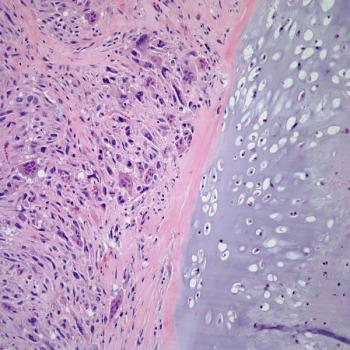
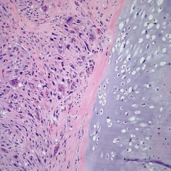
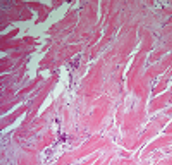
A 38-year-old man presents with a lesion in the tibia, and a biopsy is performed. What is your diagnosis?

A 49-year-old woman presents with a brain lesion, and a biopsy is performed. What is your diagnosis?

A 90-year-old man presented with a 6-month history of swelling and redness of his nose. He had persistent erythematous macules, plaques, and partially confluent nodules with irregular borders developing on his nose over the past 6-month period. What is your diagnosis?
.jpg?w=350&fit=crop&auto=format)
A 45-year-old man presents with a nodule in the glans penis. After further evaluation, what is your diagnosis?
.PNG?w=350&fit=crop&auto=format)
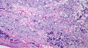
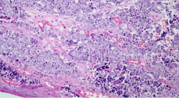
A 41-year-old man presents with a mass in the right upper back. After further evaluation, what is your diagnosis?

A 46-year-old man presents with hematuria, and a bladder biopsy is performed. What is your diagnosis?

A 32-year-old woman presents with vaginal bleeding, and a cervical biopsy is obtained. What is your diagnosis?
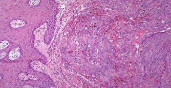
A 27-year-old African American man presents with a soft tissue lesion in his right chest. After a biopsy is performed, what is your diagnosis?

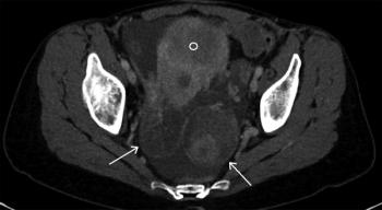
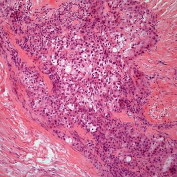
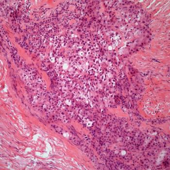
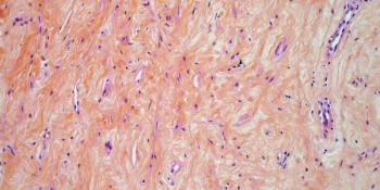
A 43-year-old man presents with a mass lesion in the pelvis, and a biopsy is performed. What is your diagnosis?

A 68-year-old woman is undergoing staging scans for gastric cancer. An image from her CT shows an abnormality. What is the diagnosis?

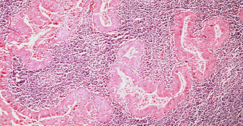
A 42-year-old woman presents with a parotid gland tumor, and a biopsy is performed. What is your diagnosis?

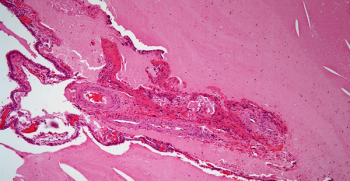
A 31-year-old man presents with a peritoneal mass, and a biopsy is performed. What is your diagnosis?
.PNG?w=350&fit=crop&auto=format)
A 38-year-old man presents with a parotid gland tumor. After the biopsy, what is your diagnosis?

A 67-year-old man presents with gastric pain, and a biopsy is performed. What is your diagnosis?
A 43-year-old woman presents with a lesion in the thyroid gland. After further assessment a biopsy is performed. What is your diagnosis?

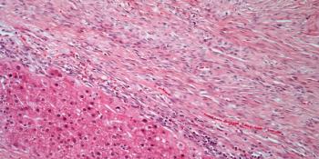
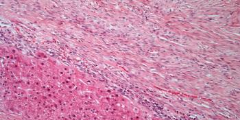
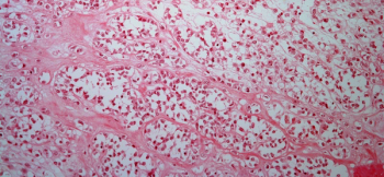
A 47-year-old man presents with a liver mass, and a biopsy is performed. What is your diagnosis?