
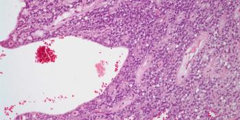
A 30-year-old woman presents with a lesion at the base of her tongue, and a biopsy is performed. What is your diagnosis?

Your AI-Trained Oncology Knowledge Connection!


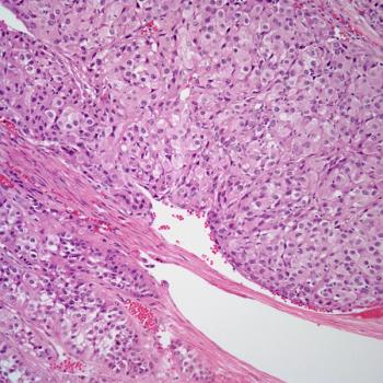
A 30-year-old woman presents with a lesion at the base of her tongue, and a biopsy is performed. What is your diagnosis?

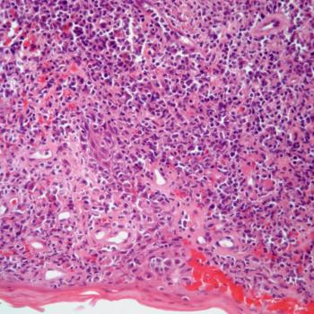
A 48-year-old woman presents with a lesion in the left breast, and a biopsy is performed. What is your diagnosis?

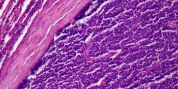
A 1-year-old child presents with leukocoria, and a biopsy is performed. What is your diagnosis?

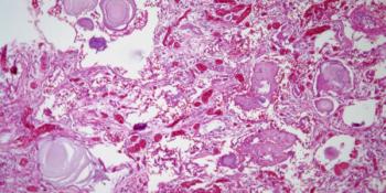
A 46-year-old man presents with a nasal mass, and a biopsy is performed. What is your diagnosis?

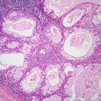
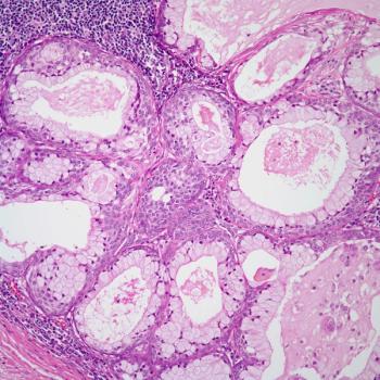
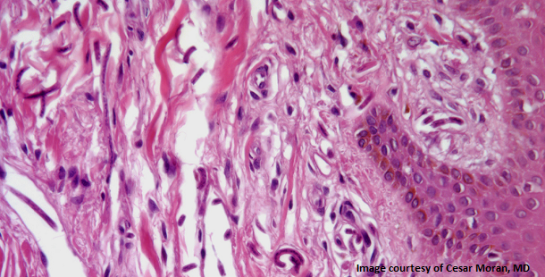
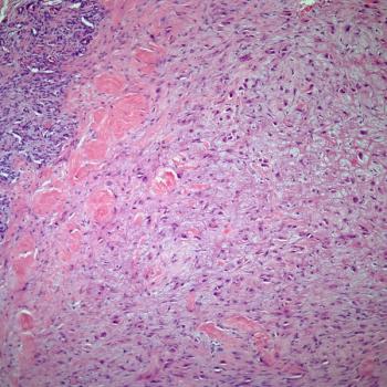
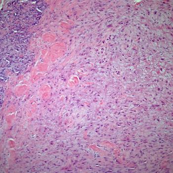
A 38-year-old man presents with a mass of the right maxilla, and a biopsy is performed. What is your diagnosis?

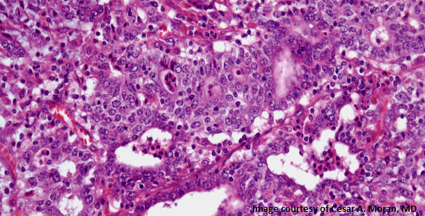
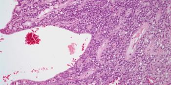
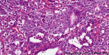
A 37-year-old woman presents with a thyroid mass, and a biopsy is performed. What is your diagnosis?

A 47-year-old woman presents with a conjunctival mass of the left eye, and a biopsy is performed. What is your diagnosis?
.PNG?w=350&fit=crop&auto=format)
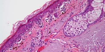
A 47-year-old man presents with an “atrophic” lesion of the skin in the right arm. After a biopsy is performed, what is your diagnosis?
.PNG?w=350&fit=crop&auto=format)
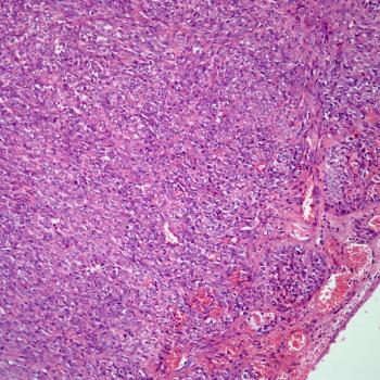
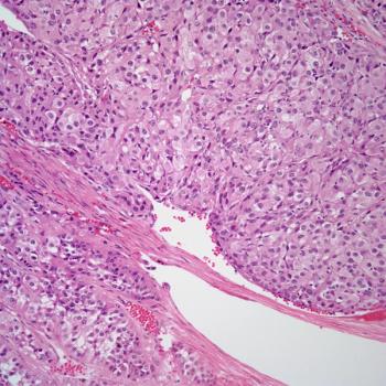
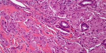
A 45-year-old man presents with a mass in the right neck. After the biopsy is performed, what is your diagnosis?

A 44-year-old woman presents with vaginal bleeding, and an endocervical biopsy is obtained. What is your diagnosis?
.PNG?w=350&fit=crop&auto=format)
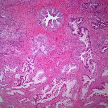
A 62-year-old man presents with abdominal pain. After further assessment, a biopsy of the stomach is obtained. What is your diagnosis?

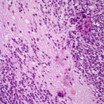
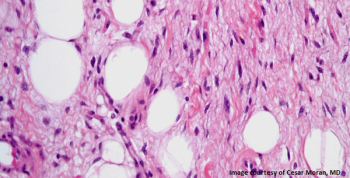
A 57-year-old man presents with a superficial nodule on his right calf, and a biopsy is performed. What is your diagnosis?

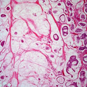
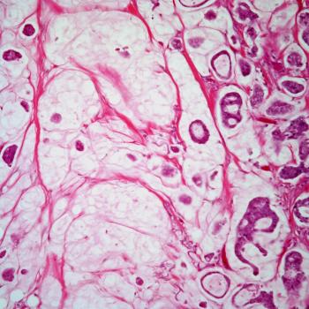
A 38-year-old man presents with sweating and nausea. Imaging shows a mass in the adrenal gland, and a biopsy is performed. What is your diagnosis?

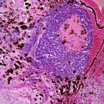
A 38-year-old man presents with a pigmented lesion on his back, and a biopsy is performed. What is your diagnosis?

A 47-year-old man presents with a cough and dyspnea. A bronchial mass in found, and a biopsy is performed. What is your diagnosis?

A 43-year-old woman presents with abdominal pain. Imaging detects a mass in the pancreas, and a biopsy is performed. What is your diagnosis?

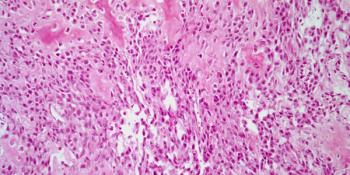
A 54-year-old woman presents with a skin lesion on her right arm, and a biopsy is performed. What is your diagnosis?

A 43-year-old man presents with a cough and chest pain. Imaging shows a mass in the lower lobe of his right lung, and a biopsy is performed. What is your diagnosis?

Vote for your favorite caption from our two finalists. The winner’s caption will be featured in an upcoming issue of ONCOLOGY.

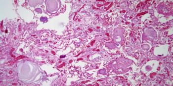
A 27-year-old woman presents with severe dyspnea. Imaging shows diffuse, bilateral infiltrates, and a biopsy is performed. What is your diagnosis?