
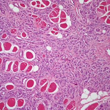
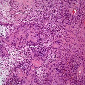
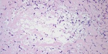
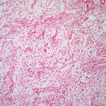
A 33-year-old man presents with pain in his right calf, and a biopsy is performed. What’s your diagnosis?

Your AI-Trained Oncology Knowledge Connection!


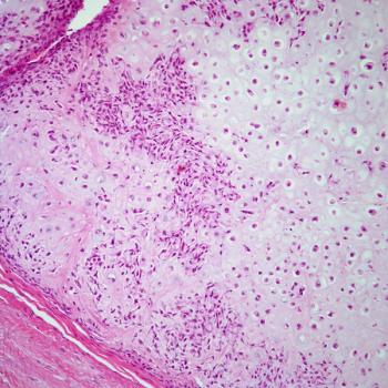
A 33-year-old man presents with pain in his right calf, and a biopsy is performed. What’s your diagnosis?

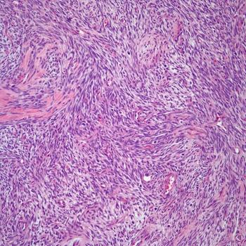
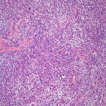
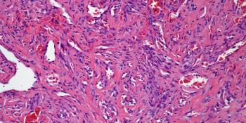
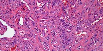
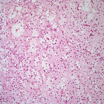
A 53-year-old man presents with a mass behind his right knee, and a biopsy is performed. What is your diagnosis?

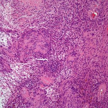
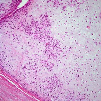
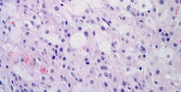
A 47-year-old woman presents with a posterior mediastinal mass, and a biopsy is performed. What is your diagnosis?

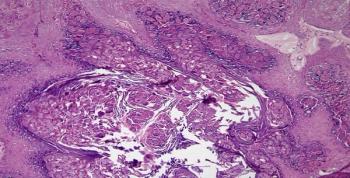
A 59-year-old woman presents with a purplish lesion on her left buttock, and a biopsy is performed. What is your diagnosis?

A 48-year-old man presents with pain in the left leg, and a biopsy is performed. What is your diagnosis?

A 43-year-old man presents with a retroperitoneal mass, and a biopsy is performed. What is your diagnosis?
.PNG?w=350&fit=crop&auto=format)
A 23-year-old young man presents with a testicular lesion. After assessing the lesion, a biopsy is performed. What is your diagnosis?

A 37-year-old immunosuppressed man presents with a lesion on his right upper shoulder, and a biopsy is performed.

A 45-year-old woman presents with an anterior mediastinal mass, and a biopsy is performed. What is your diagnosis?
.PNG?w=350&fit=crop&auto=format)
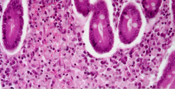
A 42-year-old man presents with diarrhea. After further evaluation, an intestinal biopsy is performed. What is your diagnosis?

A 45-year-old woman presents with a vulvar lesion, and a biopsy is performed. What is your diagnosis?
.JPG?w=350&fit=crop&auto=format)
A 28-year-old man presents with a laryngeal mass. What is your diagnosis?

A 39-year-old man presents with a soft-tissue lesion in the wrist. What is your diagnosis?
.JPG?w=350&fit=crop&auto=format)
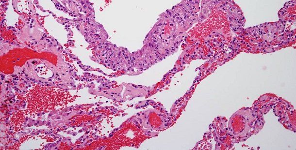
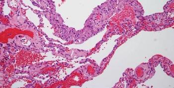
A 42-year-old woman presents with bilateral cystic changes in the lungs. What is your diagnosis?
.PNG?w=350&fit=crop&auto=format)
A 45-year-old woman is found to have a breast nodule. What is your diagnosis?

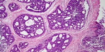
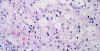
A prostate biopsy from a 62-year-old man is shown. What is your diagnosis?
_0.JPG?w=350&fit=crop&auto=format)
A 53-year-old man presents with hematuria and is found to have a bladder mass. What is your diagnosis?
_0.JPG?w=350&fit=crop&auto=format)
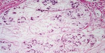
A 49-year-old woman is found to have a breast mass. After a biopsy is performed, what is your diagnosis?

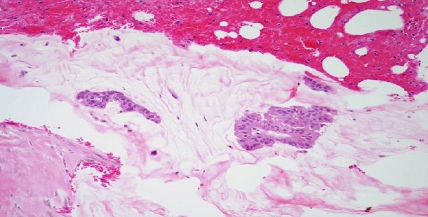
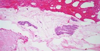
A 68-year-old woman presents with abdominal pain and hematuria, and a biopsy is performed. What is your diagnosis?
.JPG?w=350&fit=crop&auto=format)
A 32-year-old woman presents with a cutaneous nodule and a biopsy is performed. What is your diagnosis?