
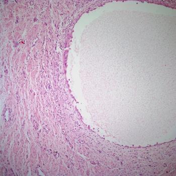
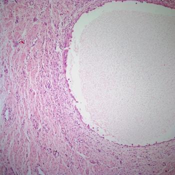
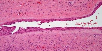
A 42-year-old woman is found to have a cystic tumor in the kidney. What is your diagnosis?

Your AI-Trained Oncology Knowledge Connection!


A 42-year-old woman is found to have a cystic tumor in the kidney. What is your diagnosis?

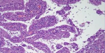
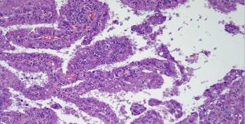
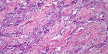
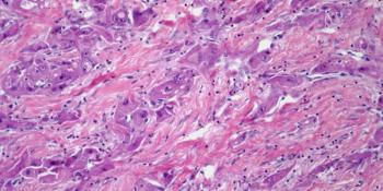
A 43-year-old woman presents with pain in the right flank. A kidney mass is found on imaging. What is your diagnosis?

A 76-year-old man is found to have a right upper lobe mass. After further evaluation, a biopsy is performed. What is your diagnosis?

A 58-year-old man treated with chemoradiotherapy for squamous cell carcinoma of the tonsil presents at follow-up with pain in the back of his mouth. What is the most likely diagnosis?

During routine chest imaging a 35-year-old woman is found to have a coin lesion in the right upper lobe. What is your diagnosis?

A 3-month-old child presents with seizures. On imaging a heart mass is observed. What is your diagnosis?

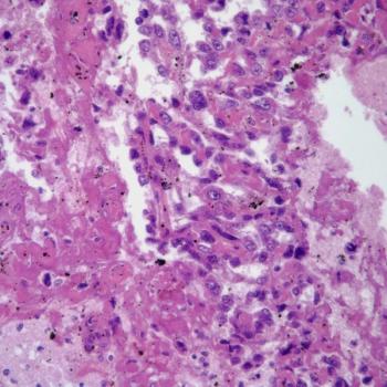
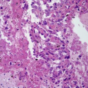
A 65-year-old man presents with heart failure. A biopsy of the heart is obtained. What is your diagnosis?

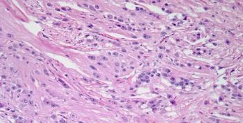
A 20-year-old woman presents with a lesion in the right molar area. After further evaluation, a biopsy is performed. What is your diagnosis?

A 47-year-old man presents with chest pain. Imaging reveals the presence of a large anterior mediastinal mass. What is your diagnosis?

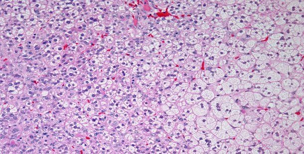
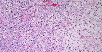
A 15-year-old boy is found to have a liver mass. A biopsy is performed. What is your diagnosis?
.JPG?w=350&fit=crop&auto=format)
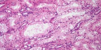
A 52-year-old woman is found to have a mass in the right adrenal gland. After further evaluation, a biopsy is performed. What is your diagnosis?

A 69-year-old man presents with weight loss and malaise. Imaging shows an ill-defined mass in the pancreas. What is your diagnosis?

A 53-year-old man treated for squamous cell carcinoma of the anus presents 4 weeks post-treatment with a 2-cm anal mass. What is the most appropriate next step in his management?

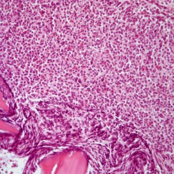
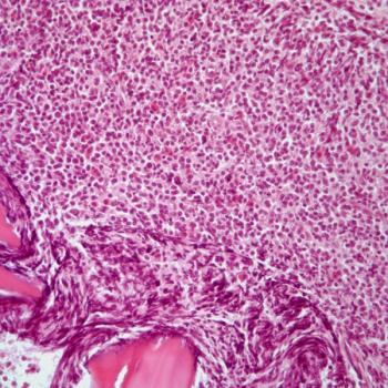
A 22-year-old man presents with enlarged axillary lymph nodes. What is your diagnosis?

Imaging on a 60-year-old man demonstrates multiple bony lesions in the spine that could indicate metastatic liver cancer. What is the best diagnostic tool to confirm the diagnosis?
.JPG?w=350&fit=crop&auto=format)
A 7-year-old boy is found to have a posterior mediastinal mass. After further evaluation, a biopsy is performed. What is your diagnosis?

A 32-year-old man presents with malaise and fatigue. A bone marrow biopsy is performed. What is your diagnosis?

A 20-year-old man is found to have an abnormality on imaging. A biopsy is performed. What is your diagnosis?

The idea that breast cancer is overdiagnosed is being perpetuated in an effort to reduce access to breast cancer screening, according to a presentation at MBCC.

A 37-year-old man presents with a mass in the left testicle. What is your diagnosis?