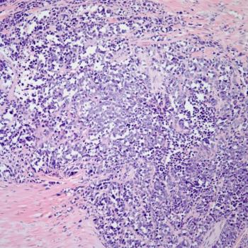
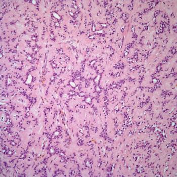
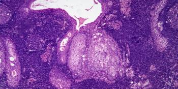
.PNG?w=350&fit=crop&auto=format)
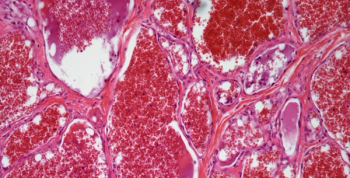
A 35-year-old woman was found to have a 4 cm nodule in the liver. After a biopsy is performed, what is your diagnosis?

Your AI-Trained Oncology Knowledge Connection!

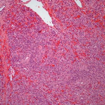
.PNG?w=350&fit=crop&auto=format)
A 35-year-old woman was found to have a 4 cm nodule in the liver. After a biopsy is performed, what is your diagnosis?
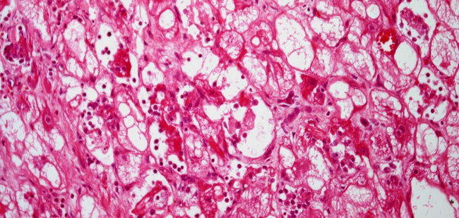
.PNG?w=350&fit=crop&auto=format)
A 37-year old man presents with a bluish lesion in the right arm. After further assessment, a biopsy is performed. What is your diagnosis?

A 41-year-old woman presents with an induration in her right breast, and a biopsy is performed. Based on the image, what is your diagnosis?

A 45-year-old woman is found to have a nodule in the breast. After further evaluation, a biopsy is performed. What is your diagnosis?

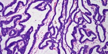
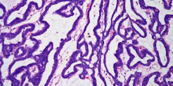
A biopsy is taken from the prostate of a 67-year-old man. Based on the image shown, what is your diagnosis?

A 42-year-old woman presents with an induration in her left breast, and a biopsy is performed. Based on the image shown, what is your diagnosis?

A 53-year-old woman presents with a mass in the right side of the parotid gland, and a biopsy is performed. Based on the image shown, what is your diagnosis?

A 38-year-old woman presents with an ill-defined nodule in her right breast, and a biopsy is performed. Based on the image shown, what is your diagnosis?

A 39-year-old man presents with a soft-tissue lesion in his wrist, and a biopsy is performed. Based on the image shown, what is your diagnosis?
.PNG?w=350&fit=crop&auto=format)
A 2-month-old child with a history of tuberous sclerosis presents with a cardiac lesion. After a biopsy is performed, what is your diagnosis?

A 42-year-old man presents with a lesion on his forehead, and a biopsy is performed. Based on the image shown, what is your diagnosis?

A 70-year-old man presents with a lesion in the right buccal mucosa of his lower lip. What is your diagnosis?
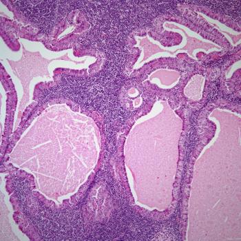
.PNG?w=350&fit=crop&auto=format)
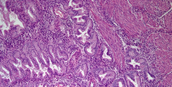
A 58-year-old man presents with symptoms of dysuria and a prostate biopsy is performed. What is your diagnosis?
.PNG?w=350&fit=crop&auto=format)
A 42-year-old woman presents with excess uterine bleeding. After a biopsy is performed, what is your diagnosis?

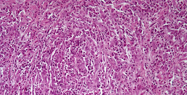
A 48-year-old man presents with swelling on the right side of his neck, and a biopsy is performed. What is your diagnosis?

A 52-year-old woman presents with a breast mass, and a biopsy is performed. What is your diagnosis?
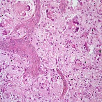
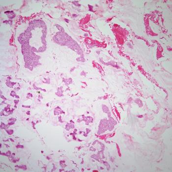
.PNG?w=350&fit=crop&auto=format)
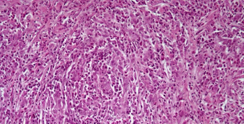
A 53-year-old man presents with a large hepatic mass. After further evaluation, a biopsy is performed. What is your diagnosis?

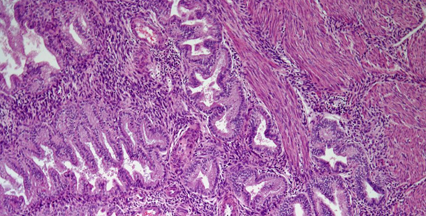
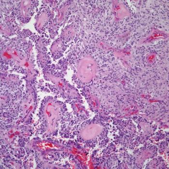
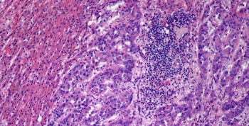
A 25-year-old man presents with neck pain. Imaging detects a mass in the thyroid gland, and a biopsy is performed. What is your diagnosis?
.PNG?w=350&fit=crop&auto=format)
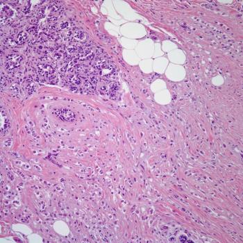
A 90-year-old woman presents with a lesion in the right forearm. After further assessment, a biopsy is performed. What is your diagnosis?

A 53-year-old woman presents with a lesion in the right breast, and a biopsy is performed. What is your diagnosis?