
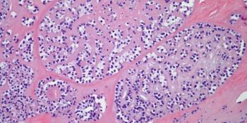
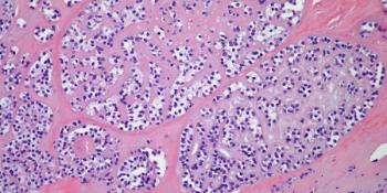
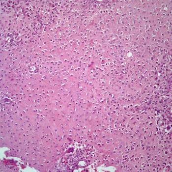
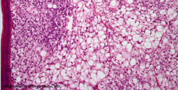
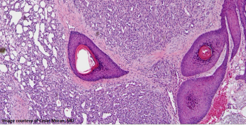
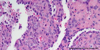
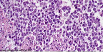
A 45-year-old man presents with symptoms of hypercalcemia. A neck mass is found, and a biopsy is performed. What is your diagnosis?

Your AI-Trained Oncology Knowledge Connection!


A 45-year-old man presents with symptoms of hypercalcemia. A neck mass is found, and a biopsy is performed. What is your diagnosis?

A 42-year-old man presents with a mass in his left leg, and a biopsy is performed. What is your diagnosis?
.PNG?w=350&fit=crop&auto=format)
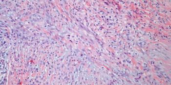
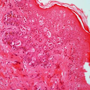
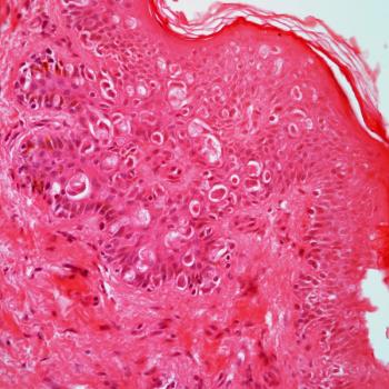
A 54-year-old woman is found to have a skin lesion in the right arm. What is your diagnosis?

A 25-year-old man with abdominal discomfort undergoes CT imaging to determine its cause. What is your diagnosis?

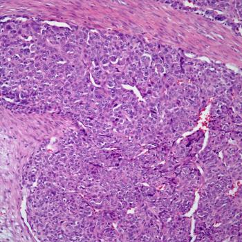
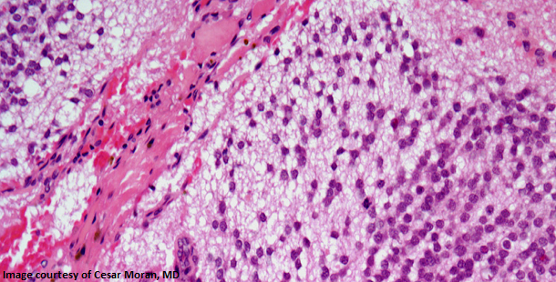
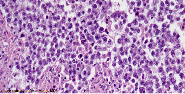
A 39-year-old woman presents with a parotid gland mass, and a biopsy is performed. What is your diagnosis?
.PNG?w=350&fit=crop&auto=format)
A 46-year-old man is found to have a nasal tumor. After further assessment, a biopsy is performed. What is your diagnosis?

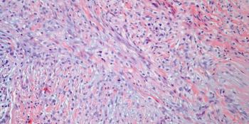
A 47-year-old woman presents with right-sided pleural thickening, and a biopsy is performed. What is your diagnosis?

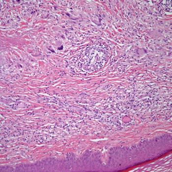
A 25-year-old woman presents with reddish nodules on her right foot, and a biopsy is performed. What is your diagnosis?

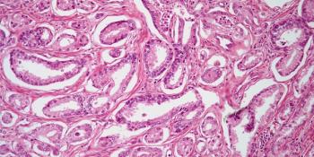
A 62-year-old woman is found to have a kidney mass, and a biopsy is performed. What is your diagnosis?

A 27-year-old man presents with a bone tumor, and a biopsy is performed. What is your diagnosis?
.PNG?w=350&fit=crop&auto=format)
A 43-year-old man presents with a lesion in the right arm. After a biopsy is performed, what is your diagnosis?

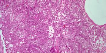
A prostate biopsy is obtained from a 56-year-old man. What is your diagnosis?

A 38-year-old man presents with a tumor in the epididymis, and a biopsy is performed. What is your diagnosis?
.PNG?w=350&fit=crop&auto=format)
A 34-year-old woman presents with a coin lesion in the right upper lobe of the lung. What is your diagnosis?

A 49-year-old man presents with a lesion on the right side of his chest, and a biopsy is performed. What is your diagnosis?

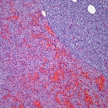
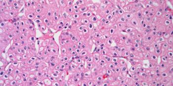
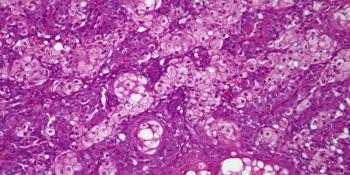
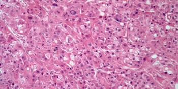
A 56-year-old man presents with a liver mass, and a biopsy is performed. What is your diagnosis?

A 52-year-old man presents with a lesion on one of his lower eyelids, and a biopsy is performed. What is your diagnosis?

A 47-year-old man presents with a penile lesion, and a biopsy is performed. What is your diagnosis?
.PNG?w=350&fit=crop&auto=format)
A 46-year-old woman presents with an ovarian mass. After further evaluation, a biopsy is performed. What is your diagnosis?

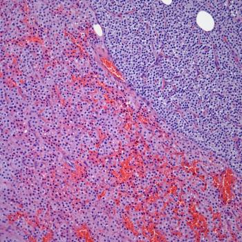
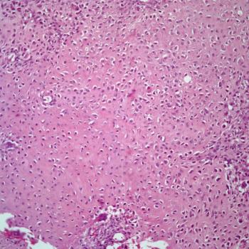
A 36-year-old patient presents with a liver mass, and a biopsy is performed. What is your diagnosis?