
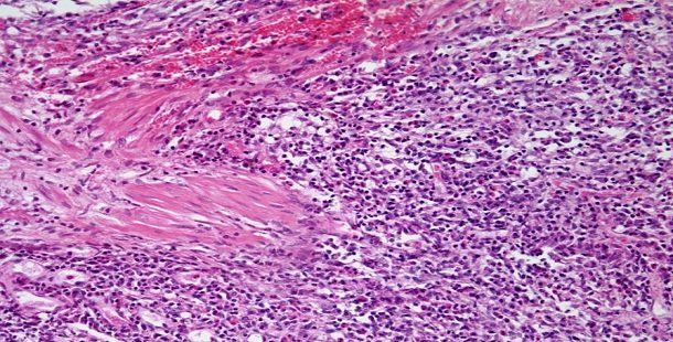
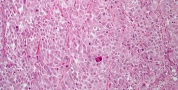
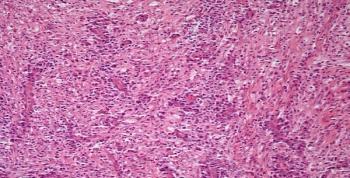
A 39-year-old woman presents with enlarged lymph nodes, and a biopsy is performed. What is your diagnosis?

Your AI-Trained Oncology Knowledge Connection!


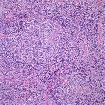
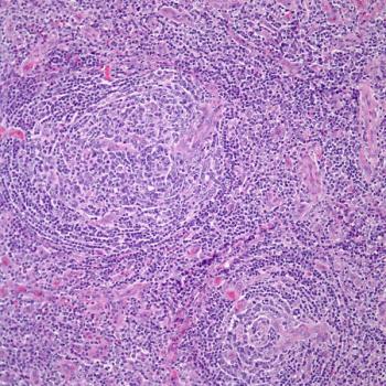
A 39-year-old woman presents with enlarged lymph nodes, and a biopsy is performed. What is your diagnosis?
.JPG?w=350&fit=crop&auto=format)
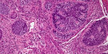
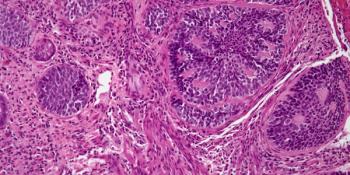
A 41-year-old woman presents with cough and dyspnea. After further evaluation, a bronchial mass is identified and a biopsy is performed. What is your diagnosis?

A 68-year-old man presents with a cough and chest pain. Chest imaging shows a lung mass in the right upper lobe. What is your diagnosis?
.JPG?w=350&fit=crop&auto=format)
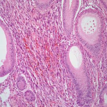
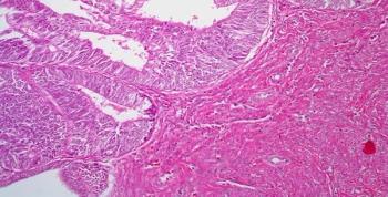
A 47-year-old woman undergoes a hysterectomy and a section of the endometrium is sent for analysis. What is your diagnosis?

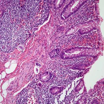
A 52-year-old man presents with lower abdominal pain and bloody stools. A colon biopsy is obtained. What is your diagnosis?
.JPG?w=350&fit=crop&auto=format)
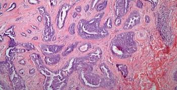
A 56-year-old man presents with an enlarged prostate. After a biopsy is performed, what is your diagnosis?
.JPG?w=350&fit=crop&auto=format)
A 31-year-old woman presents with a nodule in the breast. After further evaluation, a biopsy is performed. What is your diagnosis?

A 43-year-old woman presents with a lesion in the right nipple. After further evaluation, a biopsy is performed. What is your diagnosis?

A 63-year-old man complains of blood in his urine. A lesion in the right ureter is identified and a biopsy is performed. What is your diagnosis?

A 63-year-old man with NET metastatic to the liver undergoes MRI for evaluation of response to therapy. Based on the imaging, what is your diagnosis?

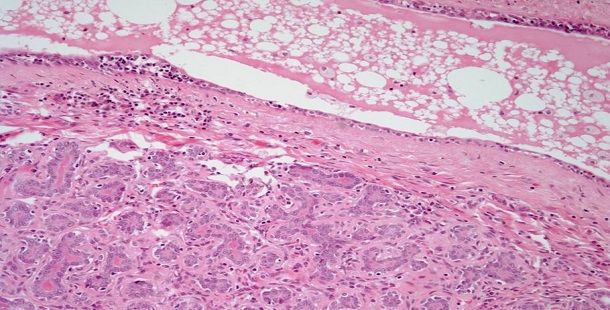
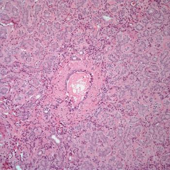
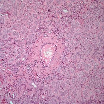
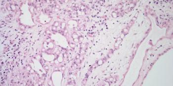
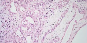
A 54-year-old woman presents with hematuria and pain. A kidney mass is found on imaging, and a biopsy is performed. What is your diagnosis?

A 35-year-old immunosuppressed man presents with abdominal pain, and a gastric biopsy is obtained. What is your diagnosis?

A 32-year-old woman presents with a lump in her right breast, and a biopsy is performed. What is your diagnosis?

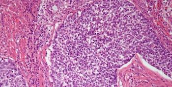
A 43-year-old man presents with an anterior mediastinal mass, and a biopsy is performed. What is your diagnosis?
.JPG?w=350&fit=crop&auto=format)
A 35-year-old woman presents with a mass in the left breast. After further evaluation, a biopsy is performed. What is your diagnosis?

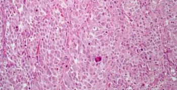
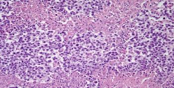
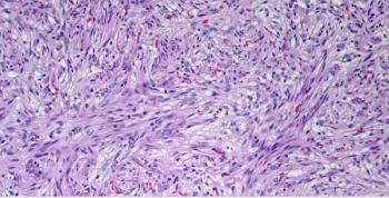
A 58-year-old man presents with a mass on the right side of his neck. What is your diagnosis?
.JPG?w=350&fit=crop&auto=format)
A large cystic lung mass is found in the right upper lobe of a 3-year-old boy. After further evaluation, a biopsy is performed. What is your diagnosis?
.JPG?w=350&fit=crop&auto=format)
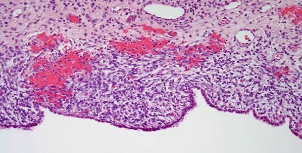
A 24-year-old young woman presents with pelvic pain and a mass in the left side. After further evaluation, a biopsy is performed. What is your diagnosis?
.JPG?w=350&fit=crop&auto=format)
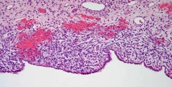
A 42-year-old woman presents with uterine bleeding. After further evaluation, a biopsy is performed. What is your diagnosis?

A 30-year-old man presents to the emergency with severe abdominal pain. An appendectomy is performed. What is your diagnosis?