
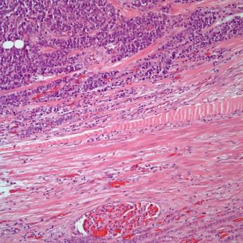
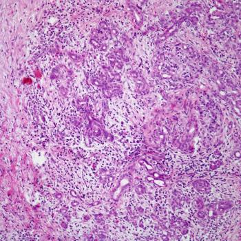
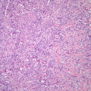
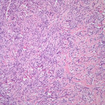
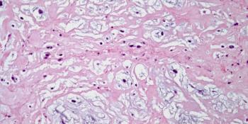
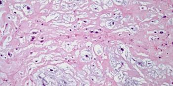
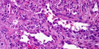
A 38-year-old man presents with hematuria. A kidney mass is detected by imaging. Based on the shown biopsy, what is your diagnosis?

Your AI-Trained Oncology Knowledge Connection!


A 38-year-old man presents with hematuria. A kidney mass is detected by imaging. Based on the shown biopsy, what is your diagnosis?

A 54-year-old man is found to have an enlarged prostate. Based on the biopsy shown, what is your diagnosis?

A 47-year-old man presents with epigastric pain. Imaging shows a discrete thickening in the pancreas. What is your diagnosis?
.JPG?w=350&fit=crop&auto=format)
A 17-year-old girl at 13 weeks gestation presents with vaginal bleeding and cramping. After further evaluation, a biopsy is performed. What is your diagnosis?

A 54-year-old man with symptoms of esophageal reflux is found to have a small nodule in the esophagus. What is your diagnosis?

After receiving a PSA screening exam, a 65-year-old man is diagnosed with clinical stage T1c prostate cancer. What imaging study is most appropriate to complete his workup?

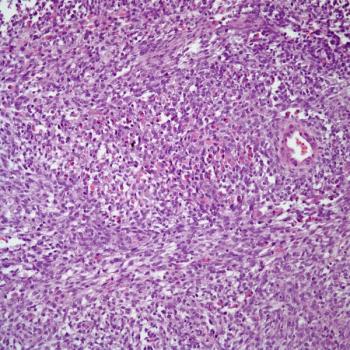
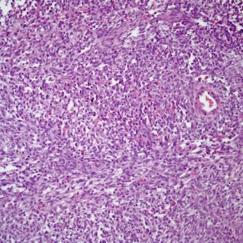
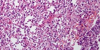
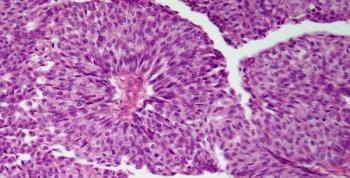
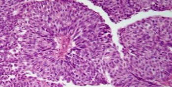
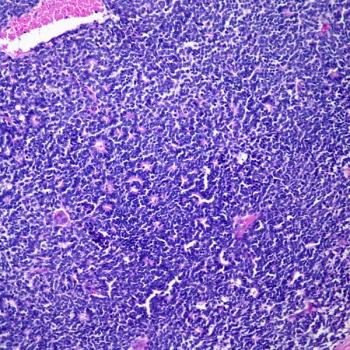
A 51-year-old man is discovered to have a brain mass. After further evaluation, a biopsy is performed. What is your diagnosis?

A 27-year-old man presents to his primary care physician, complaining of a palpable nodule in his right testicle. What is your diagnosis?
.JPG?w=350&fit=crop&auto=format)
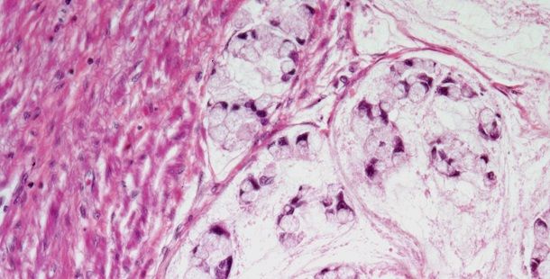
A 72-year-old man is found to have a bladder mass. After further evaluation, a biopsy is performed. What is your diagnosis?

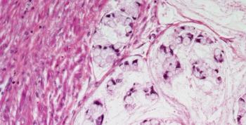
A 27-year-old man presents with axillary lymphadenopathy. What is your diagnosis?

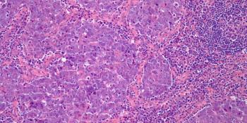
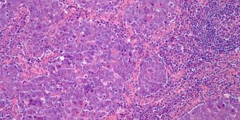
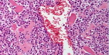
A 67-year-old man presents with hematuria and a kidney mass found on imaging. After further evaluation, a biopsy is performed. What is your diagnosis?

A 47-year-old woman is found to have a mass in the left atrium of her heart. What is your diagnosis?

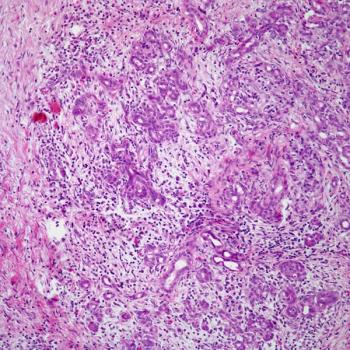
A 54-year-old man is found to have a nasopharyngeal mass. What is your diagnosis?

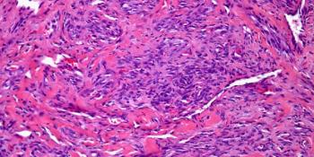
A 72-year-old woman presents with a right buttock mass. What is your diagnosis?

A full-term infant presents with abdominal distention and enlarged kidneys. After further evaluation, a biopsy is performed. What is your diagnosis?

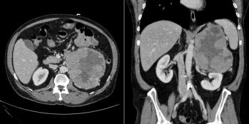
A 56-year-old woman presents with abdominal fullness and virilization. Axial and coronal images from a CT scan of her abdomen are shown below. What is your diagnosis?

A 48-year-old man presented with an anterior mediastinal mass, and a biopsy is performed. What is your diagnosis?

A 34-year-old man presents with a purplish lesion of the right leg. Surgical resection is performed. What is your diagnosis?

A 1-year-old child presents with leukocoria secondary to retinal detachment. Enucleation of the eye is performed. What is your diagnosis?

A 45-year-old man presents with gastric pain and is found to have a gastric nodule. After further evaluation, a biopsy is performed. What is your diagnosis?